验证数据展示
经过测试的应用
| Positive WB detected in | HeLa cells, mouse heart tissue, mouse kidney tissue, mouse brain tissue, rat brain tissue, rat kidney tissue |
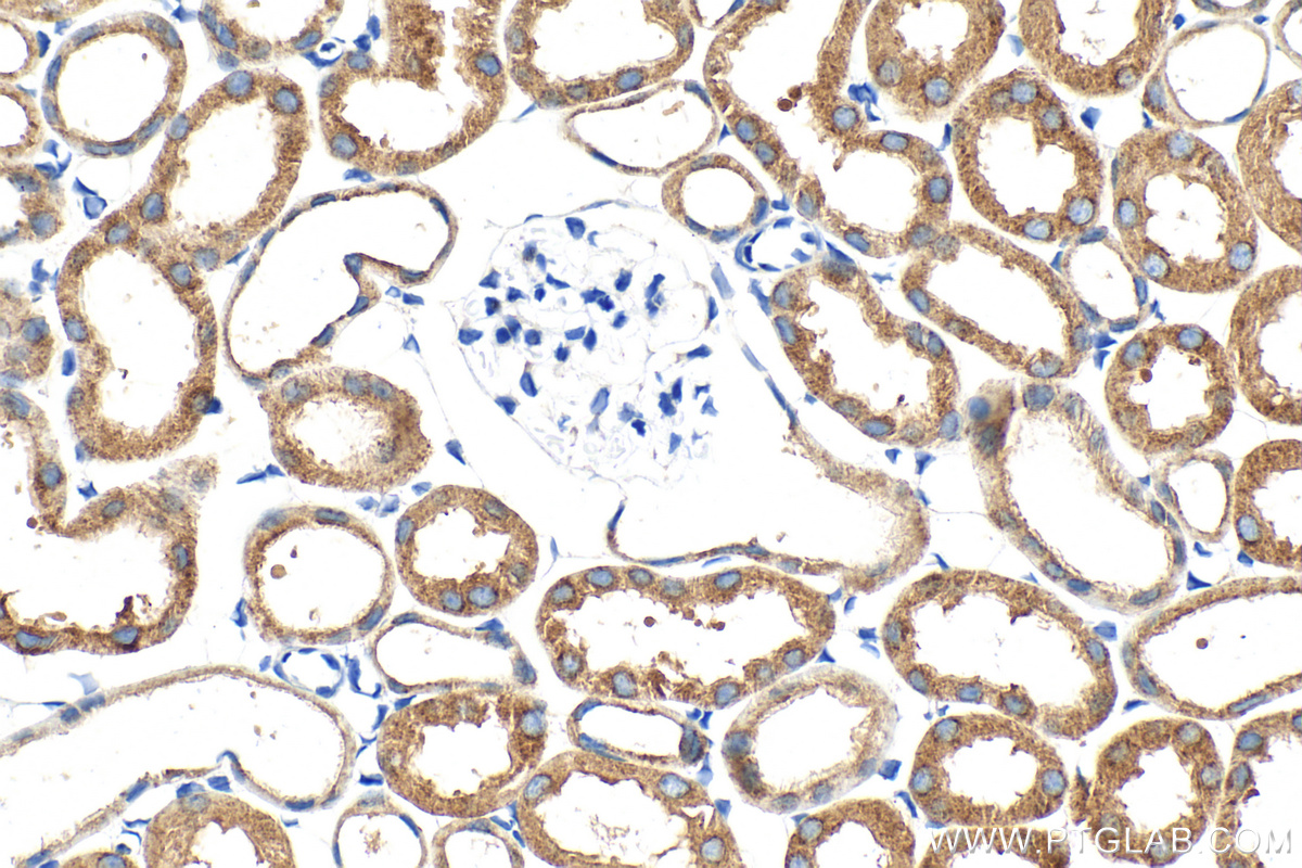
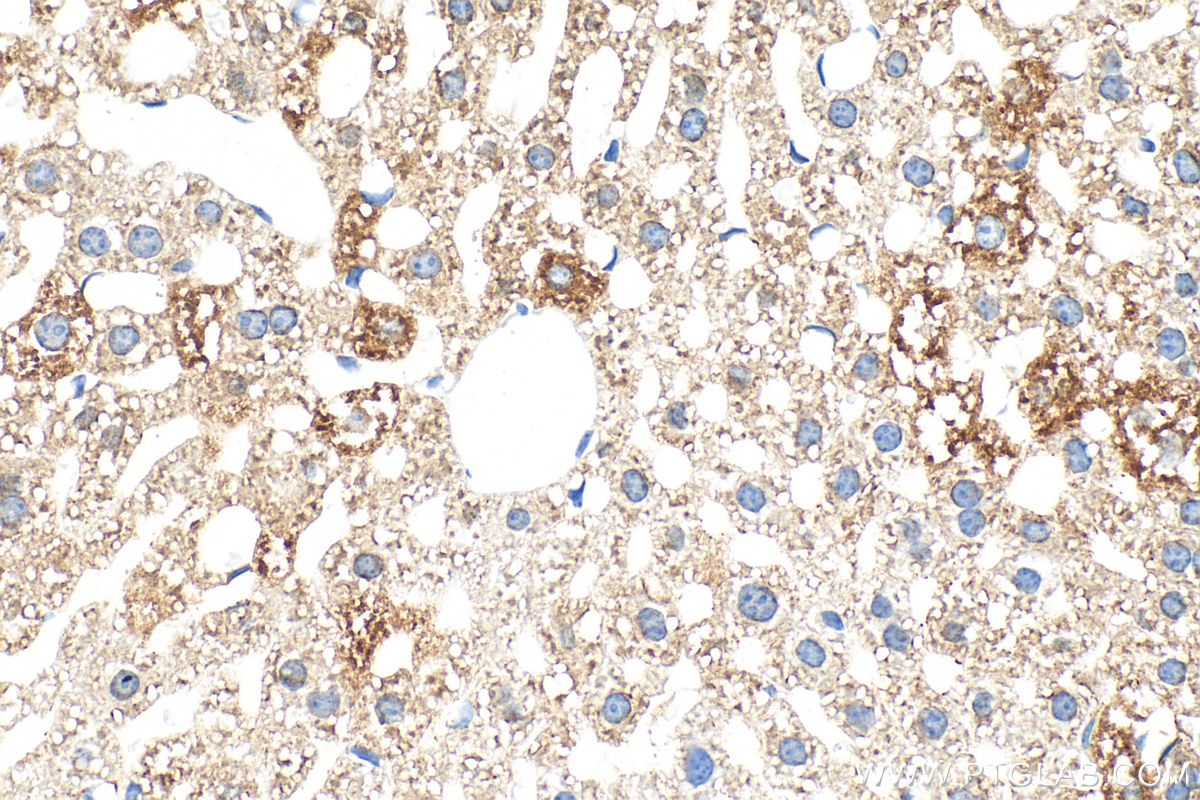
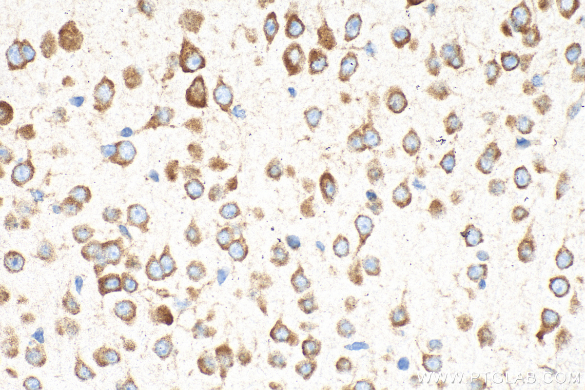
| Positive IHC detected in | mouse brain tissue, mouse kidney tissue, mouse liver tissue Note: suggested antigen retrieval with TE buffer pH 9.0; (*) Alternatively, antigen retrieval may be performed with citrate buffer pH 6.0 |
| Positive IF/ICC detected in | COS-7 cells |
推荐稀释比
| 应用 | 推荐稀释比 |
|---|---|
| Western Blot (WB) | WB : 1:1000-1:4000 |
| Immunohistochemistry (IHC) | IHC : 1:250-1:1000 |
| Immunofluorescence (IF)/ICC | IF/ICC : 1:200-1:800 |
| It is recommended that this reagent should be titrated in each testing system to obtain optimal results. | |
| Sample-dependent, Check data in validation data gallery. | |
产品信息
30986-1-AP targets CLUH in WB, IHC, IF/ICC, ELISA applications and shows reactivity with human, mouse, monkey samples.
| 经测试应用 | WB, IHC, IF/ICC, ELISA Application Description |
| 经测试反应性 | human, mouse, monkey |
| 免疫原 |
CatNo: Ag34275 Product name: Recombinant human CLUH protein Source: e coli.-derived, PGEX-4T Tag: GST Domain: 1120-1309 aa of BC156940 Sequence: YDLSLRFLENALAVSTKYHGPKALKVALSHHLVARVYESKAEFRSALQHEKEGYTIYKTQLGEDHEKTKESSEYLKCLTQQAVALQRTMNEIYRNGSSANIPPLKFTAPSMASVLEQLNVINGILFIPLSQKDLENLKAEVARRHQLQEASRNRDRAEEPMATEPAPAGAPGDLGSQPPAAKDPSPSVQG 种属同源性预测 |
| 宿主/亚型 | Rabbit / IgG |
| 抗体类别 | Polyclonal |
| 产品类型 | Antibody |
| 全称 | KIAA0664 |
| 别名 | KIAA0664, CLU1, FLJ23672, Protein KIAA0664 |
| 观测分子量 | 147-150 kDa |
| GenBank蛋白编号 | BC156940 |
| 基因名称 | CLUH |
| Gene ID (NCBI) | 23277 |
| RRID | AB_3669806 |
| 偶联类型 | Unconjugated |
| 形式 | Liquid |
| 纯化方式 | Antigen affinity Purification |
| UNIPROT ID | O75153 |
| 储存缓冲液 | PBS with 0.02% sodium azide and 50% glycerol, pH 7.3. |
| 储存条件 | Store at -20°C. Stable for one year after shipment. Aliquoting is unnecessary for -20oC storage. |
背景介绍
Clustered mitochondria homolog (CLUH) is a conserved RNA-binding protein, that binds transcripts encoding proteins involved in the respiratory chain, the tricarboxylic acid (TCA) cycle, and other mitochondrial metabolic pathways. Upon loss of CLUH, target mRNAs are subjected to faster decay, and their respective proteins are decreased in abundance. This leads to alterations in mitochondrial distribution (mitochondrial clustering as the gene name alludes to) mitochondrial cristae integrity, respiratory defects, loss of mtDNA, and decreased activity of TCA cycle enzymes. (PMID: 35559794)
实验方案
| Product Specific Protocols | |
|---|---|
| IF protocol for CLUH antibody 30986-1-AP | Download protocol |
| IHC protocol for CLUH antibody 30986-1-AP | Download protocol |
| WB protocol for CLUH antibody 30986-1-AP | Download protocol |
| Standard Protocols | |
|---|---|
| Click here to view our Standard Protocols |





