验证数据展示
经过测试的应用
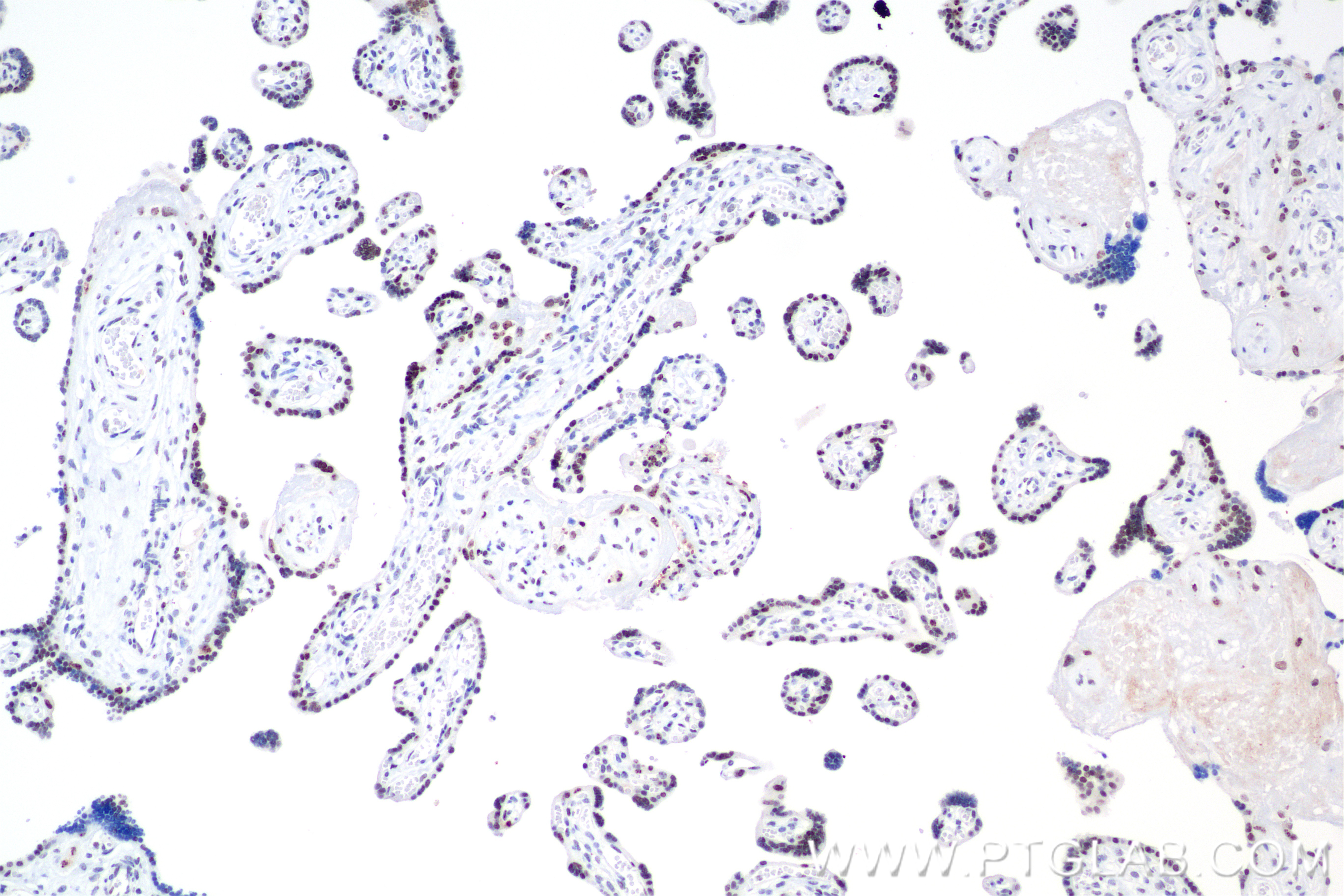
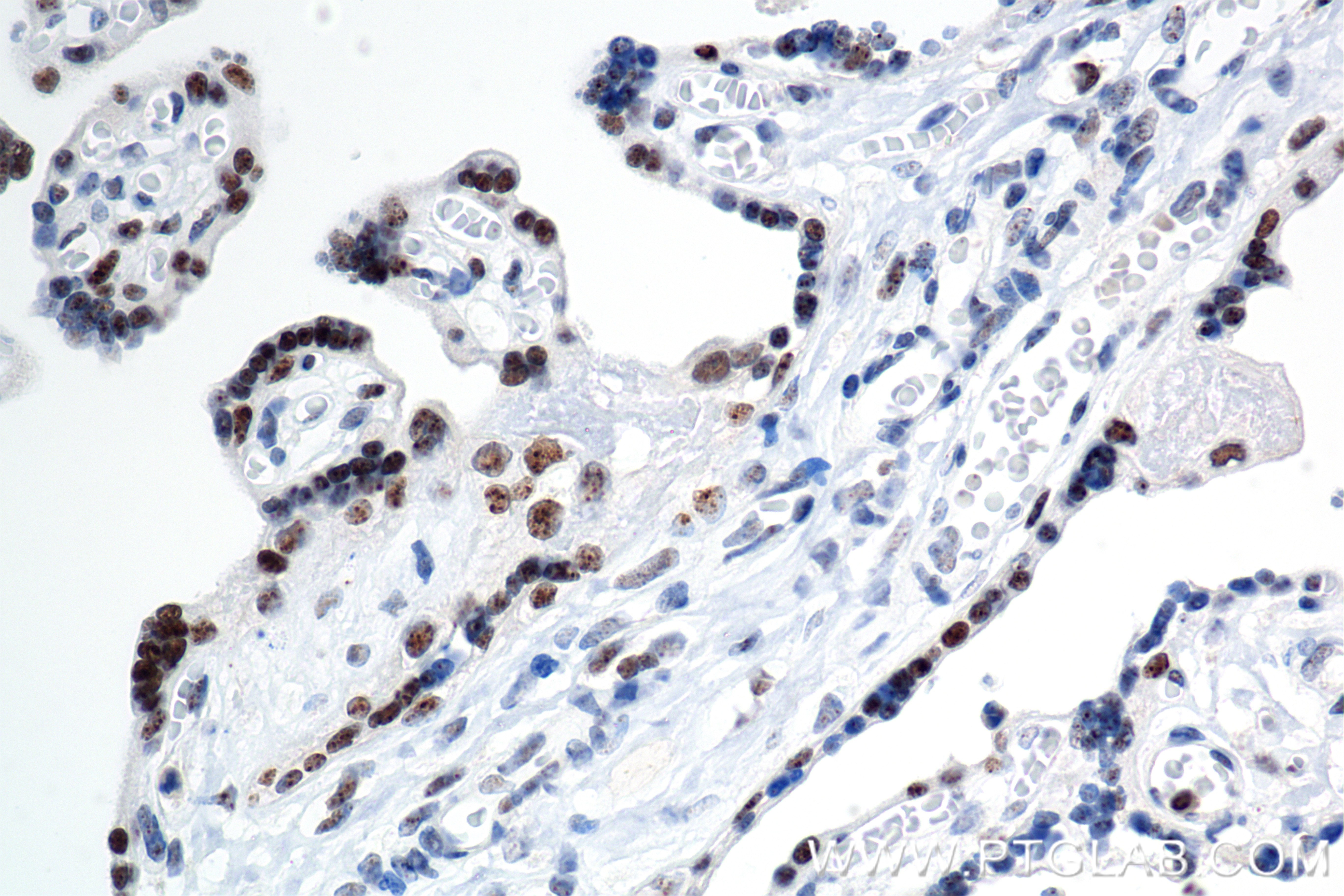
| Positive IHC detected in | human placenta tissue Note: suggested antigen retrieval with TE buffer pH 9.0; (*) Alternatively, antigen retrieval may be performed with citrate buffer pH 6.0 |
| Positive IF/ICC detected in | HepG2 cells, A549 cells |
推荐稀释比
| 应用 | 推荐稀释比 |
|---|---|
| Immunohistochemistry (IHC) | IHC : 1:500-1:2000 |
| Immunofluorescence (IF)/ICC | IF/ICC : 1:200-1:800 |
| It is recommended that this reagent should be titrated in each testing system to obtain optimal results. | |
| Sample-dependent, Check data in validation data gallery. | |
产品信息
84750-1-RR targets IRF2BP2 in IHC, IF/ICC, ELISA applications and shows reactivity with human samples.
| 经测试应用 | IHC, IF/ICC, ELISA Application Description |
| 经测试反应性 | human |
| 免疫原 |
Peptide 种属同源性预测 |
| 宿主/亚型 | Rabbit / IgG |
| 抗体类别 | Recombinant |
| 产品类型 | Antibody |
| 全称 | interferon regulatory factor 2 binding protein 2 |
| 别名 | 241949E3, Interferon regulatory factor 2-binding protein 2, IRF 2BP2, IRF2BP 2 |
| 计算分子量 | 61 kDa |
| GenBank蛋白编号 | NM_182972 |
| 基因名称 | IRF2BP2 |
| Gene ID (NCBI) | 359948 |
| RRID | AB_3672133 |
| 偶联类型 | Unconjugated |
| 形式 | Liquid |
| 纯化方式 | Protein A purfication |
| UNIPROT ID | Q7Z5L9 |
| 储存缓冲液 | PBS with 0.02% sodium azide and 50% glycerol, pH 7.3. |
| 储存条件 | Store at -20°C. Stable for one year after shipment. Aliquoting is unnecessary for -20oC storage. |
背景介绍
IRF2BP2 belongs to the IRF2BP family. IRF2BP2 acts as a transcriptional repressor and as a transcriptional corepressor in a IRF2-dependent manner. This repression is not mediated at least in part by histone deacetylase activities.
实验方案
| Product Specific Protocols | |
|---|---|
| IF protocol for IRF2BP2 antibody 84750-1-RR | Download protocol |
| IHC protocol for IRF2BP2 antibody 84750-1-RR | Download protocol |
| Standard Protocols | |
|---|---|
| Click here to view our Standard Protocols |




