验证数据展示
经过测试的应用
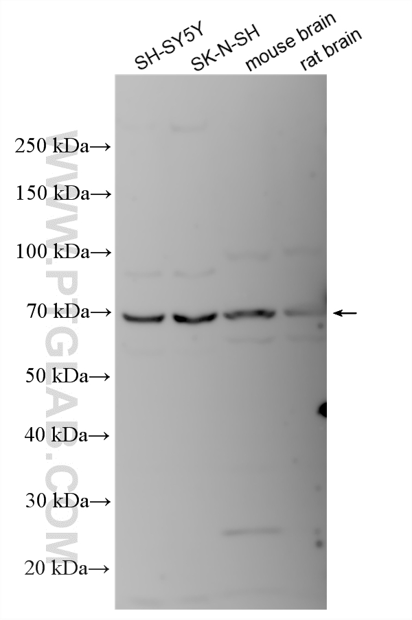
| Positive WB detected in | SH-SY5Y cells, mouse brain tissue, rat brain tissue, SK-N-SH cells |
| Positive IHC detected in | mouse brain tissue Note: suggested antigen retrieval with TE buffer pH 9.0; (*) Alternatively, antigen retrieval may be performed with citrate buffer pH 6.0 |
推荐稀释比
| 应用 | 推荐稀释比 |
|---|---|
| Western Blot (WB) | WB : 1:500-1:2000 |
| Immunohistochemistry (IHC) | IHC : 1:200-1:1000 |
| It is recommended that this reagent should be titrated in each testing system to obtain optimal results. | |
| Sample-dependent, Check data in validation data gallery. | |
发表文章中的应用
| WB | See 1 publications below |
产品信息
21978-1-AP targets CHRM3 in WB, IHC, ELISA applications and shows reactivity with human, mouse, rat samples.
| 经测试应用 | WB, IHC, ELISA Application Description |
| 文献引用应用 | WB |
| 经测试反应性 | human, mouse, rat |
| 文献引用反应性 | mouse |
| 免疫原 |
CatNo: Ag17791 Product name: Recombinant human CHRM3 protein Source: e coli.-derived, PGEX-4T Tag: GST Domain: 261-477 aa of BC121026 Sequence: RTKELAGLQASGTEAETENFVHPTGSSRSCSSYELQQQSMKRSNRRKYGRCHFWFTTKSWKPSSEQMDQDHSSSDSWNNNDAAASLENSASSDEEDIGSETRAIYSIVLKLPGHSTILNSTKLPSSDNLQVPEEELGMVDLERKADKLQAQKSVDDGGSFPKSFSKLPIQLESAVDTAKTSDVNSSVGKSTATLPLSFKEATLAKRFALKTRSQITK 种属同源性预测 |
| 宿主/亚型 | Rabbit / IgG |
| 抗体类别 | Polyclonal |
| 产品类型 | Antibody |
| 全称 | cholinergic receptor, muscarinic 3 |
| 别名 | HM3 |
| 计算分子量 | 590 aa, 66 kDa |
| 观测分子量 | 60-66 kDa |
| GenBank蛋白编号 | BC121026 |
| 基因名称 | CHRM3 |
| Gene ID (NCBI) | 1131 |
| RRID | AB_3085681 |
| 偶联类型 | Unconjugated |
| 形式 | Liquid |
| 纯化方式 | Antigen affinity purification |
| UNIPROT ID | P20309 |
| 储存缓冲液 | PBS with 0.02% sodium azide and 50% glycerol, pH 7.3. |
| 储存条件 | Store at -20°C. Stable for one year after shipment. Aliquoting is unnecessary for -20oC storage. |
背景介绍
CHRM3 (M3 muscarinic acetylcholine receptor) is a major player in many kinds of cancer (PMID: 26175851). The expression of muscarinic receptors, mainly the CHRM3, is amplified in several types of tumors, including colon cancer, prostate cancer, endometrial carcinoma, and gastric cancer. Colon cancer overexpresses CHRM3, and post-M3R signaling promotes cell growth via the activation of the epidermal growth factor receptors/ERK and protein kinase C/p38 mitogen-activated protein kinase (MAPK) signaling pathways (PMID: 37744266).
实验方案
| Product Specific Protocols | |
|---|---|
| IHC protocol for CHRM3 antibody 21978-1-AP | Download protocol |
| WB protocol for CHRM3 antibody 21978-1-AP | Download protocol |
| Standard Protocols | |
|---|---|
| Click here to view our Standard Protocols |



