验证数据展示
经过测试的应用
| Positive WB detected in | HEK-293 cells, NIH/3T3 cells, C6 cells |
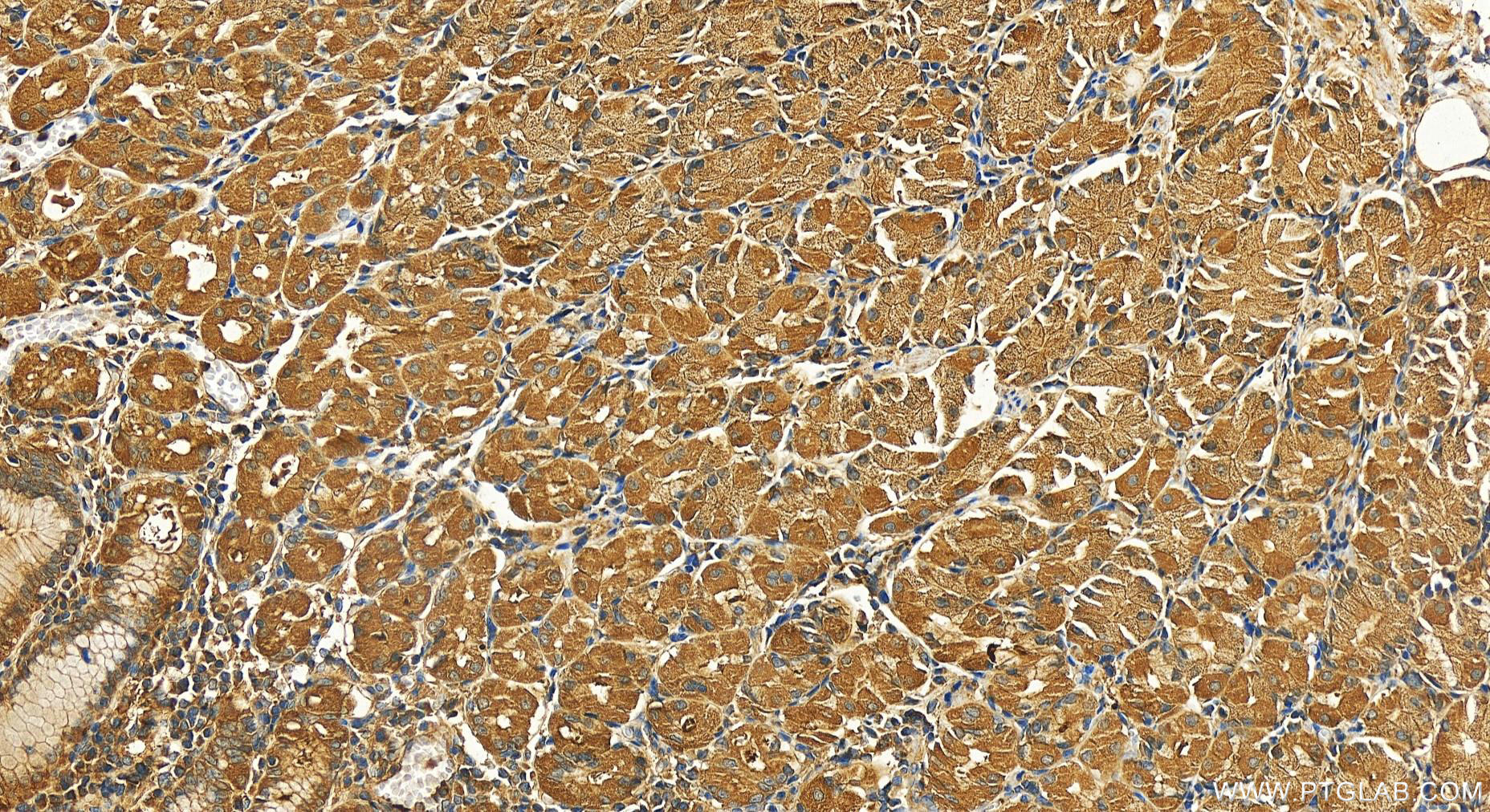
| Positive IHC detected in | human stomach tissue Note: suggested antigen retrieval with TE buffer pH 9.0; (*) Alternatively, antigen retrieval may be performed with citrate buffer pH 6.0 |
推荐稀释比
| 应用 | 推荐稀释比 |
|---|---|
| Western Blot (WB) | WB : 1:500-1:3000 |
| Immunohistochemistry (IHC) | IHC : 1:150-1:600 |
| It is recommended that this reagent should be titrated in each testing system to obtain optimal results. | |
| Sample-dependent, Check data in validation data gallery. | |
产品信息
16336-1-AP targets RAP1A in WB, IHC, ELISA applications and shows reactivity with human, mouse, rat samples.
| 经测试应用 | WB, IHC, ELISA Application Description |
| 经测试反应性 | human, mouse, rat |
| 免疫原 |
CatNo: Ag9488 Product name: Recombinant human RAP1A protein Source: e coli.-derived, PGEX-4T Tag: GST Domain: 1-184 aa of BC014086 Sequence: MREYKLVVLGSGGVGKSALTVQFVQGIFVEKYDPTIEDSYRKQVEVDCQQCMLEILDTAGTEQFTAMRDLYMKNGQGFALVYSITAQSTFNDLQDLREQILRVKDTEDVPMILVGNKCDLEDERVVGKEQGQNLARQWCNCAFLESSAKSKINVNEIFYDLVRQINRKTPVEKKKPKKKSCLLL 种属同源性预测 |
| 宿主/亚型 | Rabbit / IgG |
| 抗体类别 | Polyclonal |
| 产品类型 | Antibody |
| 全称 | RAP1A, member of RAS oncogene family |
| 别名 | EC:3.6.5.2, G-22K, GTP-binding protein smg p21A, KREV1, Ras-related protein Krev-1 |
| 计算分子量 | 184 aa, 21 kDa |
| 观测分子量 | 21 kDa |
| GenBank蛋白编号 | BC014086 |
| 基因名称 | RAP1A |
| Gene ID (NCBI) | 5906 |
| RRID | AB_1939700 |
| 偶联类型 | Unconjugated |
| 形式 | Liquid |
| 纯化方式 | Antigen affinity purification |
| UNIPROT ID | P62834 |
| 储存缓冲液 | PBS with 0.02% sodium azide and 50% glycerol, pH 7.3. |
| 储存条件 | Store at -20°C. Stable for one year after shipment. Aliquoting is unnecessary for -20oC storage. |
背景介绍
RAP1A(Ras-related protein Rap-1A), also known as KREV1. Induces morphological reversion of a cell line transformed by a Ras oncogene. The biological roles of RAP1A include inducing neurite outgrowth and embryonic angiogenesis(PMID: 17916086). As one member of RAS oncogene family, it is a widely expressed receptor,with high mRNA expression in many tissues, particularly abundant in the colon. In cells, RAP1A was localized in cytoplasm and cell membrane(PMID: 11359771, PMID: 11359771).
实验方案
| Product Specific Protocols | |
|---|---|
| IHC protocol for RAP1A antibody 16336-1-AP | Download protocol |
| WB protocol for RAP1A antibody 16336-1-AP | Download protocol |
| Standard Protocols | |
|---|---|
| Click here to view our Standard Protocols |

