验证数据展示
经过测试的应用
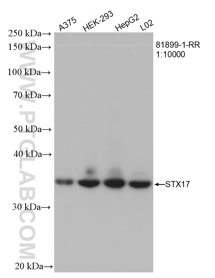
| Positive WB detected in | A375 cells, HepG2 cells, human testis tissue, HEK-293 cells, L02 cells, mouse testis issue, rat testis tissue |
| Positive IHC detected in | mouse kidney tissue Note: suggested antigen retrieval with TE buffer pH 9.0; (*) Alternatively, antigen retrieval may be performed with citrate buffer pH 6.0 |
| Positive IF/ICC detected in | HepG2 cells |
推荐稀释比
| 应用 | 推荐稀释比 |
|---|---|
| Western Blot (WB) | WB : 1:5000-1:50000 |
| Immunohistochemistry (IHC) | IHC : 1:500-1:2000 |
| Immunofluorescence (IF)/ICC | IF/ICC : 1:200-1:800 |
| It is recommended that this reagent should be titrated in each testing system to obtain optimal results. | |
| Sample-dependent, Check data in validation data gallery. | |
发表文章中的应用
| WB | See 1 publications below |
产品信息
81899-1-RR targets STX17 in WB, IHC, IF/ICC, ELISA applications and shows reactivity with human, mouse, rat samples.
| 经测试应用 | WB, IHC, IF/ICC, ELISA Application Description |
| 文献引用应用 | WB |
| 经测试反应性 | human, mouse, rat |
| 文献引用反应性 | mouse |
| 免疫原 |
CatNo: Ag12134 Product name: Recombinant human STX17 protein Source: e coli.-derived, PGEX-4T Tag: GST Domain: 1-216 aa of BC111009 Sequence: MSEDEEKVKLRRLEPAIQKFIKIVIPTDLERLRKHQINIEKYQRCGIWDKLHEEHINAGRTVQQLRSNIREIEKLCLKVRKDDLVLLKRMIDPVKEEASAATAEFLQLHLESVEELKKQFNDEETLLQPPLTRSMTVGGAFHTTEAEASSQSLTQIYALPEIPQDQNAAESWETLEADLIELSQLVTDFSLLVNSQQEKIDSIADHVNSAAVNVEE 种属同源性预测 |
| 宿主/亚型 | Rabbit / IgG |
| 抗体类别 | Recombinant |
| 产品类型 | Antibody |
| 全称 | syntaxin 17 |
| 别名 | 4G3, Syntaxin 17, Syntaxin-17 |
| 计算分子量 | 302 aa, 33 kDa |
| 观测分子量 | 33-35 kD |
| GenBank蛋白编号 | BC111009 |
| 基因名称 | STX17 |
| Gene ID (NCBI) | 55014 |
| RRID | AB_2935590 |
| 偶联类型 | Unconjugated |
| 形式 | Liquid |
| 纯化方式 | Protein A purification |
| UNIPROT ID | P56962 |
| 储存缓冲液 | PBS with 0.02% sodium azide and 50% glycerol, pH 7.3. |
| 储存条件 | Store at -20°C. Stable for one year after shipment. Aliquoting is unnecessary for -20oC storage. |
背景介绍
SNAREs, soluble N-ethylmaleimide-sensitive factor-attachment protein receptors, are essential proteins for the fusion of cellular membranes. Syntaxin 17 (STX17) is a SNARE of the autophagosome involved in autophagy through the direct control of autophagosome membrane fusion with the lysosome membrane. STX17 may also play a role in the early secretory pathway where it may maintain the architecture of the endoplasmic reticulum-Golgi intermediate compartment/ERGIC and Golgi and/or regulate transport between the endoplasmic reticulum, the ERGIC and the Golgi.
实验方案
| Product Specific Protocols | |
|---|---|
| IF protocol for STX17 antibody 81899-1-RR | Download protocol |
| IHC protocol for STX17 antibody 81899-1-RR | Download protocol |
| WB protocol for STX17 antibody 81899-1-RR | Download protocol |
| Standard Protocols | |
|---|---|
| Click here to view our Standard Protocols |






