验证数据展示
产品信息
86580-1-PBS targets Syntaxin 8 as part of a matched antibody pair:
MP02538-1: 86580-2-PBS capture and 86580-1-PBS detection (validated in Cytometric bead array)
Unconjugated rabbit recombinant monoclonal antibody in PBS only (BSA and azide free) storage buffer at a concentration of 1 mg/mL, ready for conjugation. Created using Proteintech’s proprietary in-house recombinant technology. Recombinant production enables unrivalled batch-to-batch consistency, easy scale-up, and future security of supply.
This conjugation ready format makes antibodies ideal for use in many applications including: ELISAs, multiplex assays requiring matched pairs, mass cytometry, and multiplex imaging applications.Antibody use should be optimized by the end user for each application and assay.
| 经测试应用 | WB, Cytometric bead array, Indirect ELISA Application Description |
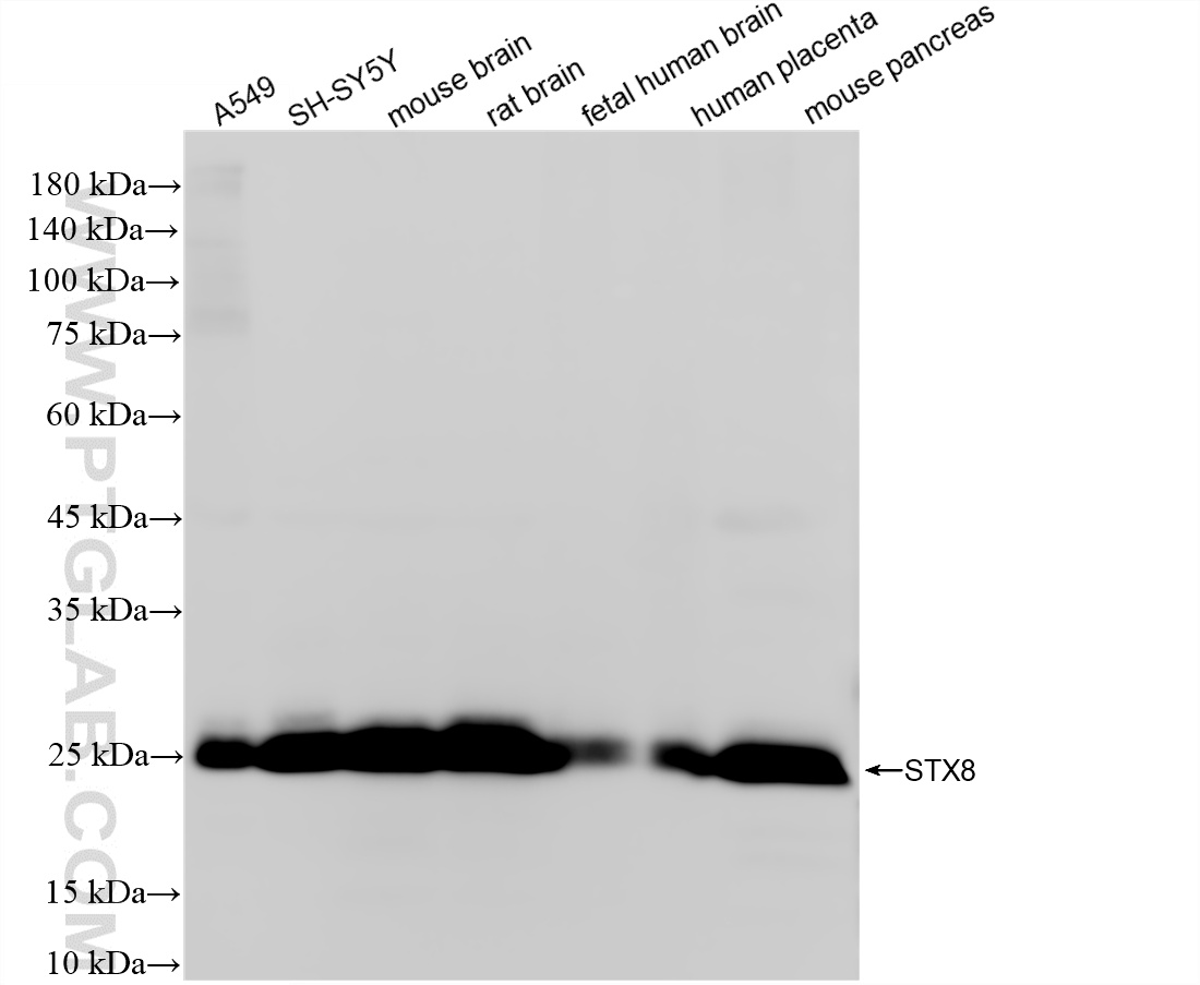
| 经测试反应性 | human, mouse, rat |
| 免疫原 |
CatNo: Ag2850 Product name: Recombinant human STX8 protein Source: e coli.-derived, PGEX-4T Tag: GST Domain: 1-211 aa of BC009713 Sequence: MAPDPWFSTYDSTCQIAQEIAEKIQQRNQYERKGEKAPKLTVTIRALLQNLKEKIALLKDLLLRAVSTHQITQLEGDRRQNLLDDLVTRERLLLASFKNEGAEPDLIRSSLMSEEAKRGAPNPWLFEEPEETRGLGFDEIRQQQQKIIQEQDAGLDALSSIISRQKQMGQEIGNELDEQNEIIDDLANLVENTDEKLRNETRRVNMVDRKS 种属同源性预测 |
| 宿主/亚型 | Rabbit / IgG |
| 抗体类别 | Recombinant |
| 产品类型 | Antibody |
| 全称 | syntaxin 8 |
| 别名 | STX8, Syntaxin-8 |
| 计算分子量 | 236 aa, 27 kDa |
| 观测分子量 | 25 kDa |
| GenBank蛋白编号 | BC009713 |
| 基因名称 | Syntaxin 8 |
| Gene ID (NCBI) | 9482 |
| 偶联类型 | Unconjugated |
| 形式 | Liquid |
| 纯化方式 | Protein A purification |
| UNIPROT ID | Q9UNK0 |
| 储存缓冲液 | PBS only, pH 7.3. |
| 储存条件 | Store at -80°C. The product is shipped with ice packs. Upon receipt, store it immediately at -80°C |
背景介绍
Syntaxin 8 (STX8), also known as CIP-1-associated regulator of cyclin B (CARB ), is a protein belonging to the syntaxin family. The gene of STX8 maps to chromosomal band 17p12 and it encodes a 236-amino-acid protein containing 1 t-SNARE coiled-coil homology domain. STX8 mRNA is broadly expressed in multiple human tissues, including the heart, brain, kidney, liver, lung, placenta, skeletal muscle, spleen, and pancreas (PMID: 10198254). STX8 is involved in protein trafficking from early to late endosomes via vesicle fusion and exocytosis.



