验证数据展示
经过测试的应用
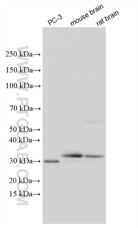
| Positive WB detected in | PC-3 cells, mouse thymus tissue, mouse brain tissue, rat brain tissue |
| Positive IP detected in | mouse brain tissue |
| Positive IHC detected in | human skin cancer tissue Note: suggested antigen retrieval with TE buffer pH 9.0; (*) Alternatively, antigen retrieval may be performed with citrate buffer pH 6.0 |
| Positive IF/ICC detected in | HeLa cells, HEK-293 cells |
推荐稀释比
| 应用 | 推荐稀释比 |
|---|---|
| Western Blot (WB) | WB : 1:5000-1:50000 |
| Immunoprecipitation (IP) | IP : 0.5-4.0 ug for 1.0-3.0 mg of total protein lysate |
| Immunohistochemistry (IHC) | IHC : 1:50-1:500 |
| Immunofluorescence (IF)/ICC | IF/ICC : 1:250-1:1000 |
| It is recommended that this reagent should be titrated in each testing system to obtain optimal results. | |
| Sample-dependent, Check data in validation data gallery. | |
产品信息
10455-1-AP targets CLTB in WB, IHC, IF/ICC, IP, ELISA applications and shows reactivity with human, mouse, rat samples.
| 经测试应用 | WB, IHC, IF/ICC, IP, ELISA Application Description |
| 文献引用应用 | WB, IF |
| 经测试反应性 | human, mouse, rat |
| 文献引用反应性 | human, mouse |
| 免疫原 |
CatNo: Ag0707 Product name: Recombinant human CLTB protein Source: e coli.-derived, PGEX-4T Tag: GST Domain: 1-211 aa of BC006457 Sequence: MADDFGFFSSSESGAPEAAEEDPAAAFLAQQESEIAGIENDEGFGAPAGSHAAPAQPGPTSGAGSEDMGTTVNGDVFQEANGPADGYAAIAQADRLTQEPESIRKWREEQRKRLQELDAASKVTEQEWREKAKKDLEEWNQRQSEQVEKNKINNRASEEAFVKESKEETPGTEWEKVAQLCDFNPKSSKQCKDVSRLRSVLMSLKQTPLSR 种属同源性预测 |
| 宿主/亚型 | Rabbit / IgG |
| 抗体类别 | Polyclonal |
| 产品类型 | Antibody |
| 全称 | clathrin, light chain (Lcb) |
| 别名 | Clathrin light chain B, clathrin, light chain (Lcb), LCB |
| 计算分子量 | 23 kDa |
| 观测分子量 | 30-32 kDa |
| GenBank蛋白编号 | BC006457 |
| 基因名称 | CLTB |
| Gene ID (NCBI) | 1212 |
| RRID | AB_2083149 |
| 偶联类型 | Unconjugated |
| 形式 | Liquid |
| 纯化方式 | Antigen affinity purification |
| UNIPROT ID | P09497 |
| 储存缓冲液 | PBS with 0.02% sodium azide and 50% glycerol, pH 7.3. |
| 储存条件 | Store at -20°C. Stable for one year after shipment. Aliquoting is unnecessary for -20oC storage. |
背景介绍
Clathrin is the major protein of the polyhedral coat of coated pits and vesicles which entrap specific macromolecules during receptor-mediated endocytosis. The clathrin molecule has a triskelion shape. Each clathrin triskelion is composed of three identical heavy chains (180 kDa) and three light chains of two types, LCA (CLTA) and LCB (CLTB) (30-40 kDa). The light chain subunits are thought to regulate the formation or disassembly of clathrin coats. (PMID: 2445759; 8374173; 3563513)
实验方案
| Product Specific Protocols | |
|---|---|
| IF protocol for CLTB antibody 10455-1-AP | Download protocol |
| IHC protocol for CLTB antibody 10455-1-AP | Download protocol |
| IP protocol for CLTB antibody 10455-1-AP | Download protocol |
| WB protocol for CLTB antibody 10455-1-AP | Download protocol |
| Standard Protocols | |
|---|---|
| Click here to view our Standard Protocols |
发表文章
| Species | Application | Title |
|---|---|---|
Proc Natl Acad Sci U S A Clathrin light chains' role in selective endocytosis influences antibody isotype switching.
| ||
Proc Natl Acad Sci U S A Clathrin light chain diversity regulates membrane deformation in vitro and synaptic vesicle formation in vivo. | ||
J Virol Dabie bandavirus Nonstructural Protein Interacts with Actin to Induce F-Actin Rearrangement and Inhibit Viral Adsorption and Entry. | ||
bioRxiv Downregulation of lysosomal trafficking in ARPE19 cells leads to decreased transfection efficiency at high passage |






