验证数据展示
经过测试的应用
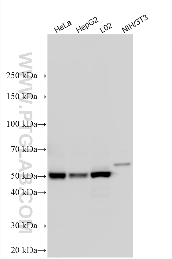
| Positive WB detected in | HeLa cells, L02 cells, mouse brain tissue, mouse kidney tissue, mouse liver tissue, NIH/3T3 cells, rat liver tissue, HepG2 cells, rat kidney tissue |
| Positive IP detected in | L02 cells |
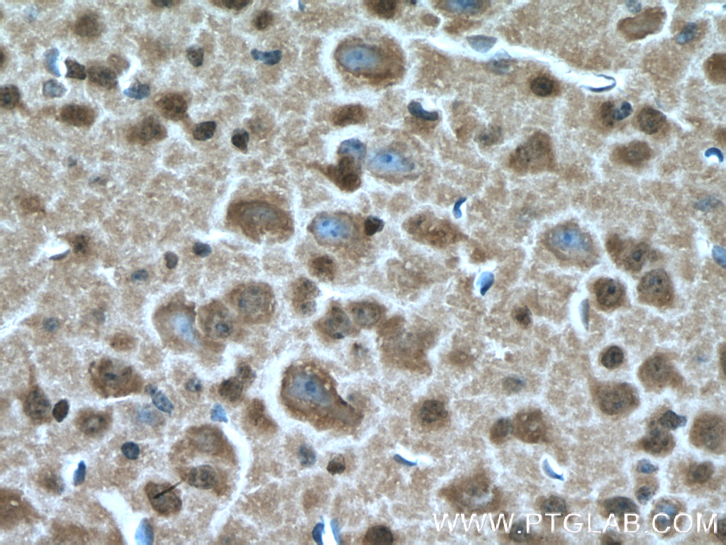
| Positive IHC detected in | mouse brain tissue, human liver tissue, human testis tissue Note: suggested antigen retrieval with TE buffer pH 9.0; (*) Alternatively, antigen retrieval may be performed with citrate buffer pH 6.0 |
| Positive IF/ICC detected in | hTERT-RPE1 cells, NIH3T3 cells, MDCK cells |
推荐稀释比
| 应用 | 推荐稀释比 |
|---|---|
| Western Blot (WB) | WB : 1:2000-1:10000 |
| Immunoprecipitation (IP) | IP : 0.5-4.0 ug for 1.0-3.0 mg of total protein lysate |
| Immunohistochemistry (IHC) | IHC : 1:50-1:500 |
| Immunofluorescence (IF)/ICC | IF/ICC : 1:200-1:800 |
| It is recommended that this reagent should be titrated in each testing system to obtain optimal results. | |
| Sample-dependent, Check data in validation data gallery. | |
产品信息
17711-1-AP targets ARL13B in WB, IHC, IF/ICC, IP, ELISA applications and shows reactivity with human, mouse, rat, canine samples.
| 经测试应用 | WB, IHC, IF/ICC, IP, ELISA Application Description |
| 文献引用应用 | WB, IHC, IF, IP |
| 经测试反应性 | human, mouse, rat, canine |
| 文献引用反应性 | human, mouse, rat, pig, canine, monkey, chicken, zebrafish, sheep, xenopus |
| 免疫原 |
CatNo: Ag12015 Product name: Recombinant human ARL13B protein Source: e coli.-derived, PGEX-4T Tag: GST Domain: 1-321 aa of BC094725 Sequence: MFSLMASCCGWFKRWREPVRLANKQDKEGALGEADVIECLSLEKLVNEHKCLCQIEPCSAISGYGKKIDKSIKKGLYWLLHVIARDFDALNERIQKETTEQRALEEQEKQERAERVRKLREERKQNEQEQAELDGTSGLAELDPEPTNPFQPIASVIIENEGKLEREKKNQKMEKDSDGCHLKHKMEHEQIETQGQVNHNGQKNNEFGLVENYKEALTQQLKNEDETDRPSLESANGKKKTKKLRMKRNHRVEPLNIDDCAPESPTPPPPPPPVGWGTPKVTRLPKLEPLGETHHNDFYRKPLPPLAVPQRPNSDAHDVIS 种属同源性预测 |
| 宿主/亚型 | Rabbit / IgG |
| 抗体类别 | Polyclonal |
| 产品类型 | Antibody |
| 全称 | ADP-ribosylation factor-like 13B |
| 别名 | ADP-ribosylation factor-like protein 13B, ADP-ribosylation factor-like protein 2-like 1, ARL2 like protein 1, ARL2L1, ARL2-like protein 1 |
| 计算分子量 | 48 kDa |
| 观测分子量 | 40-48 kDa, 60 kDa |
| GenBank蛋白编号 | BC094725 |
| 基因名称 | ARL13B |
| Gene ID (NCBI) | 200894 |
| RRID | AB_2060867 |
| 偶联类型 | Unconjugated |
| 形式 | Liquid |
| 纯化方式 | Antigen affinity purification |
| UNIPROT ID | Q3SXY8 |
| 储存缓冲液 | PBS with 0.02% sodium azide and 50% glycerol, pH 7.3. |
| 储存条件 | Store at -20°C. Stable for one year after shipment. Aliquoting is unnecessary for -20oC storage. |
背景介绍
ARL13B, also named ARL2L1, is the Ras superfamily's small ciliary G protein. Localized in the cilia, it is required for cilium biogenesis and sonic hedgehog signaling. Defects in ARL13B cause Joubert syndrome (JS), an autosomal recessive disorder characterized by a distinctive cerebellar malformation (PMID: 19906870). This antibody detects two specific bands at 60 kDa and 48 kDa. Arl13b is predicted to be a 48 kDa protein, and the 60 kDa band will likely represent a modified form of Arl13b. ARL13B can be used to mark the cilia (PMID:22072986).
实验方案
| Product Specific Protocols | |
|---|---|
| IF protocol for ARL13B antibody 17711-1-AP | Download protocol |
| IHC protocol for ARL13B antibody 17711-1-AP | Download protocol |
| IP protocol for ARL13B antibody 17711-1-AP | Download protocol |
| WB protocol for ARL13B antibody 17711-1-AP | Download protocol |
| Standard Protocols | |
|---|---|
| Click here to view our Standard Protocols |
发表文章
| Species | Application | Title |
|---|---|---|
Nat Biotechnol Guided self-organization and cortical plate formation in human brain organoids. | ||
Nature Quantitative lineage analysis identifies a hepato-pancreato-biliary progenitor niche. | ||
Science Control of meiotic chromosomal bouquet and germ cell morphogenesis by the zygotene cilium. | ||
Nature A slow-cycling LGR5 tumour population mediates basal cell carcinoma relapse after therapy. | ||
Nature Aspm knockout ferret reveals an evolutionary mechanism governing cerebral cortical size. |
























