验证数据展示
经过测试的应用
| Positive WB detected in | A549 cells, HeLa cells, Ramos cells, K-562 cells, RAW 264.7 cells, C6 cells, Jurkat cells |
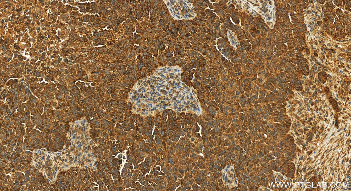
| Positive IHC detected in | human ovarian cancer Note: suggested antigen retrieval with TE buffer pH 9.0; (*) Alternatively, antigen retrieval may be performed with citrate buffer pH 6.0 |
| Positive IF/ICC detected in | HeLa cells |
| Positive FC (Intra) detected in | HeLa cells |
推荐稀释比
| 应用 | 推荐稀释比 |
|---|---|
| Western Blot (WB) | WB : 1:5000-1:50000 |
| Immunohistochemistry (IHC) | IHC : 1:50-1:500 |
| Immunofluorescence (IF)/ICC | IF/ICC : 1:125-1:500 |
| Flow Cytometry (FC) (INTRA) | FC (INTRA) : 0.25 ug per 10^6 cells in a 100 µl suspension |
| It is recommended that this reagent should be titrated in each testing system to obtain optimal results. | |
| Sample-dependent, Check data in validation data gallery. | |
产品信息
83330-1-RR targets BCL2L1 in WB, IHC, IF/ICC, FC (Intra), ELISA applications and shows reactivity with human, mouse, rat samples.
| 经测试应用 | WB, IHC, IF/ICC, FC (Intra), ELISA Application Description |
| 经测试反应性 | human, mouse, rat |
| 免疫原 |
CatNo: Ag25604 Product name: Recombinant human Bcl-xL protein Source: e coli.-derived, PGEX-4T Tag: GST Domain: 1-128 aa of BC019307 Sequence: MSQSNRELVVDFLSYKLSQKGYSWSQFSDVEENRTEAPEGTESEMETPSAINGNPSWHLADSPAVNGATGHSSSLDAREVIPMAAVKQALREAGDEFELRYRRAFSDLTSQLHITPGTAYQSFEQVVN 种属同源性预测 |
| 宿主/亚型 | Rabbit / IgG |
| 抗体类别 | Recombinant |
| 产品类型 | Antibody |
| 全称 | BCL2-like 1 |
| 别名 | Bcl-xL, 1E8, Apoptosis regulator Bcl X, Apoptosis regulator Bcl-X, Bcl2-L-1 |
| 计算分子量 | 26 kDa |
| 观测分子量 | 30 kDa |
| GenBank蛋白编号 | BC019307 |
| 基因名称 | BCL2L1 |
| Gene ID (NCBI) | 598 |
| RRID | AB_3670993 |
| 偶联类型 | Unconjugated |
| 形式 | Liquid |
| 纯化方式 | Protein A purfication |
| UNIPROT ID | Q07817 |
| 储存缓冲液 | PBS with 0.02% sodium azide and 50% glycerol, pH 7.3. |
| 储存条件 | Store at -20°C. Stable for one year after shipment. Aliquoting is unnecessary for -20oC storage. |
背景介绍
BCL2L1 is a member of the BCL-2 protein family. BCL2L1 is expressed as three isoforms, Bcl-X(L), Bcl-X(s), and Bcl-X(beta), and is located at the outer mitochondrial membrane. The Bcl-X(L) isoform is a 233 amino acid protein, acting as an apoptotic inhibitor. Bcl-XL can form heterodimers with BAX, BAK or BCL2, and the heterodimerization with BAX does not seem to be required for anti-apoptotic activity. The Bcl-X(s) isoform is a shorter variant that is 178 amino acids in length and lacks a 63 amino acid region (amino acids 126-188), acting as an apoptotic activator. Bcl-X(beta) is a 227 amino acid protein.
实验方案
| Product Specific Protocols | |
|---|---|
| FC protocol for BCL2L1 antibody 83330-1-RR | Download protocol |
| IF protocol for BCL2L1 antibody 83330-1-RR | Download protocol |
| IHC protocol for BCL2L1 antibody 83330-1-RR | Download protocol |
| WB protocol for BCL2L1 antibody 83330-1-RR | Download protocol |
| Standard Protocols | |
|---|---|
| Click here to view our Standard Protocols |





