验证数据展示
产品信息
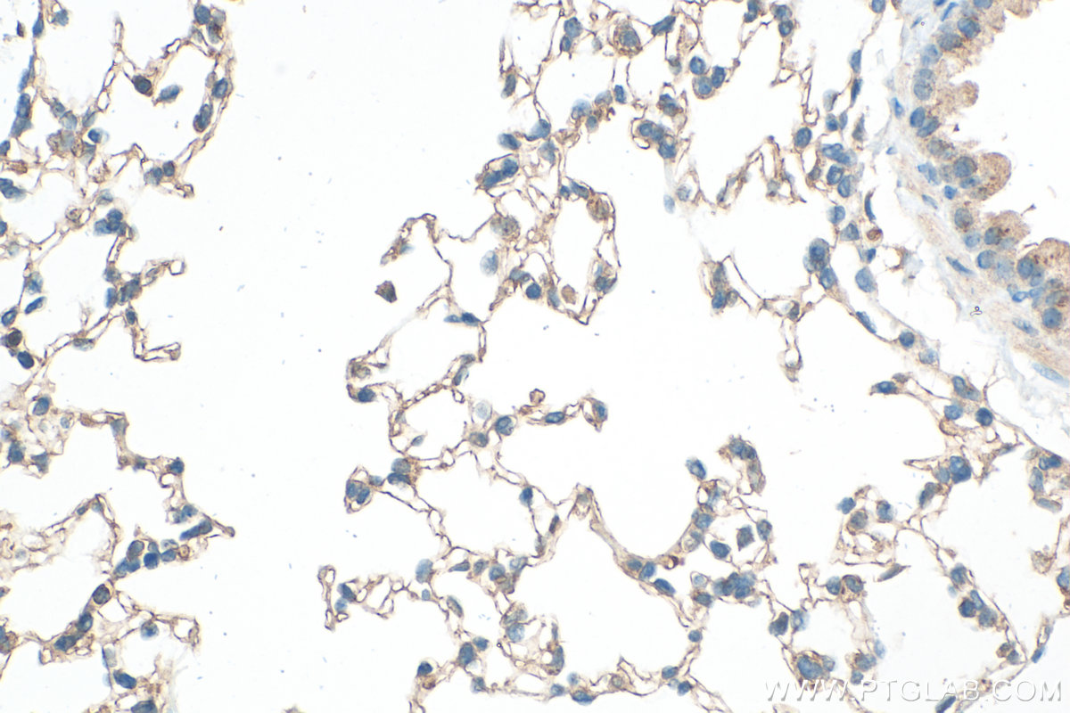
29767-1-PBS targets Claudin 5 in WB, IHC, IF-P, Indirect ELISA applications and shows reactivity with human, mouse, rat samples.
| 经测试应用 | WB, IHC, IF-P, Indirect ELISA Application Description |
| 经测试反应性 | human, mouse, rat |
| 免疫原 |
CatNo: Ag29044 Product name: Recombinant human CLDN5 protein Source: e coli.-derived, PGEX-4T Tag: GST Domain: 144-218 aa of BC032363 Sequence: VREFYDPSVPVSQKYELGAALYIGWAATALLMVGGCLLCCGAWVCTGRPDLSFPVKYSAPRRPTATGDYDKKNYV 种属同源性预测 |
| 宿主/亚型 | Rabbit / IgG |
| 抗体类别 | Polyclonal |
| 产品类型 | Antibody |
| 全称 | claudin 5 |
| 别名 | CLDN5, AWAL, BEC1, Claudin5, Claudin-5 |
| 计算分子量 | 218 aa, 23 kDa |
| 观测分子量 | 22 kDa |
| GenBank蛋白编号 | BC032363 |
| 基因名称 | CLDN5 |
| Gene ID (NCBI) | 7122 |
| 偶联类型 | Unconjugated |
| 形式 | Liquid |
| 纯化方式 | Antigen affinity purification |
| UNIPROT ID | O00501 |
| 储存缓冲液 | PBS only, pH 7.3. |
| 储存条件 | Store at -80°C. The product is shipped with ice packs. Upon receipt, store it immediately at -80°C |
背景介绍
Claudins are a family of proteins that are the most important components of the tight junctions, where they establish the paracellular barrier that controls the flow of molecules in the intercellular space between the cells of an epithelium. 27 claudins have been identified. They are small (20-27 kilodalton (kDa)) proteins with very similar structure. They have four transmembrane domains, with the N-terminus and the C-terminus in the cytoplasm.




