IHCeasy® AHNAK Ready-To-Use IHC Kit
AHNAK Ready-to-use reagent kit for IHC.
Reactivity
Human, Mouse, Rat
Sample Type
FFPE tissue
Cat no : KHC0658
Synonyms
AHNAK, AHNAK nucleoprotein, AHNAKRS, Desmoyokin, PM227
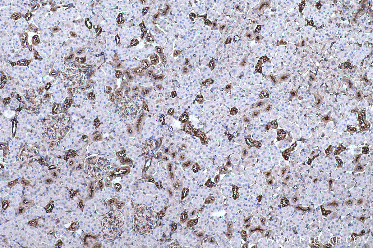
Validation Data Gallery
Product Information
KHC0658 is a ready-to-use IHC kit for staining of AHNAK. The kit provides all reagents, from antigen retrieval to cover slip mounting, that require little to no diluting or handling prior to use. Simply apply the reagents to your sample slide according to the protocol and you're steps away from obtaining high-quality IHC data.
| Product name | IHCeasy AHNAK Ready-To-Use IHC Kit |
| Sample type | FFPE tissue |
| Assay type | Immunohistochemistry |
| Primary antibody type | Rabbit Polyclonal |
| Secondary antibody type | Polymer-HRP-Goat anti-Rabbit |
| Reactivity | Human, Mouse, Rat |
Kit components
| Component | Size | Concentration |
|---|---|---|
| Antigen Retrieval Buffer | 100 mL | 50× |
| Washing Buffer | 100 mL ×2 | 20× |
| Blocking Buffer | 5 mL | RTU |
| Primary Antibody | 5 mL | RTU |
| Secondary Antibody | 5 mL | RTU |
| Chromogen Component A | 0.2 mL | RTU |
| Chromogen Component B | 4 mL | RTU |
| Signal Enhancer | 5 mL | RTU |
| Counter Staining Reagent | 5 mL | RTU |
| Mounting Media | 5 mL | RTU |
| Datasheet | 1 Copy | |
| Manual | 1 Copy |
Background Information
AHNAK, also known as desmoyokin, is described as a giant scaffold protein based on its large size and ability to interact with different proteins to form multi-protein complexes. The bulk of the protein is assembled in 128-residue repetitive elements known as the central repeated unit (CRU). Its proposed functions are quite diverse, ranging from a role in the formation of the blood brain barrier, in cell architecture and migration, to the regulation of cardiac channels and muscle membrane repair. AHNAK is differentially expressed in some cancer cell lines. The expression of AHNAK is subsequently localized to the plasma membrane of keratinocytes in human epidermis. AHNAK has been reported in many intracellular locations including the nucleus, cytoplasm and plasma membrane.
Properties
| Storage Instructions | All the reagents are stored at 2-8°C. The kit is stable for 6 months from the date of receipt. |
| Synonyms | AHNAK, AHNAK nucleoprotein, AHNAKRS, Desmoyokin, PM227 |







