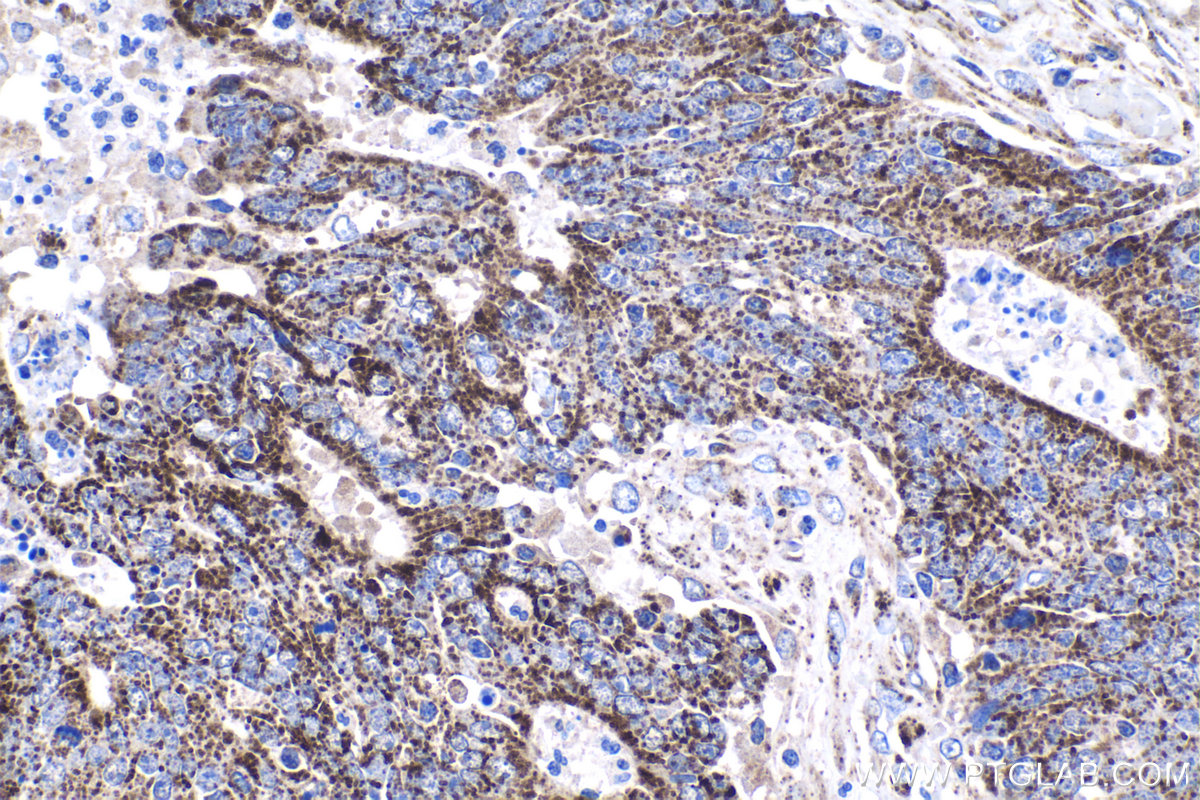
IHCeasy® ALDH1B1 Ready-To-Use IHC Kit
ALDH1B1 Ready-to-use reagent kit for IHC.
Reactivity
Human
Sample Type
FFPE tissue
Cat no : KHC1045
Synonyms
Aldehyde dehydrogenase 5, ALDH1B1, ALDH5, ALDHX
Validation Data Gallery
Product Information
KHC1045 is a ready-to-use IHC kit for staining of ALDH1B1. The kit provides all reagents, from antigen retrieval to cover slip mounting, that require little to no diluting or handling prior to use. Simply apply the reagents to your sample slide according to the protocol and you're steps away from obtaining high-quality IHC data.
| Product name | IHCeasy ALDH1B1 Ready-To-Use IHC Kit |
| Sample type | FFPE tissue |
| Assay type | Immunohistochemistry |
| Primary antibody type | Rabbit Polyclonal |
| Secondary antibody type | Polymer-HRP-Goat anti-Rabbit |
| Reactivity | Human |
Kit components
| Component | Size | Concentration |
|---|---|---|
| Antigen Retrieval Buffer | 100 mL | 50× |
| Washing Buffer | 100 mL ×2 | 20× |
| Blocking Buffer | 5 mL | RTU |
| Primary Antibody | 5 mL | RTU |
| Secondary Antibody | 5 mL | RTU |
| Chromogen Component A | 0.2 mL | RTU |
| Chromogen Component B | 4 mL | RTU |
| Signal Enhancer | 5 mL | RTU |
| Counter Staining Reagent | 5 mL | RTU |
| Mounting Media | 5 mL | RTU |
| Datasheet | 1 Copy | |
| Manual | 1 Copy |
Background Information
Aldehyde dehydrogenases (ALDHs) belong to a superfamily of NAD(P)+-dependent enzymes, which catalyze the oxidation of endogenous and exogenous aldehydes to their corresponding acids. ALDH1B1 is a mitochondrial ALDH that it is dramatically upregulated in human colonic adenocarcinoma, making it a potential biomarker for human colon cancer. ALDH1B1 is a homotetramer expressed in various adult and fetal human tissues including liver, testis, kidney, skeletal muscle, heart, placenta, brain and lung. Primary antibody in this kit is specific to ALDH1B1.
Properties
| Storage Instructions | All the reagents are stored at 2-8°C. The kit is stable for 6 months from the date of receipt. |
| Synonyms | Aldehyde dehydrogenase 5, ALDH1B1, ALDH5, ALDHX |




