IHCeasy® MYO6 Ready-To-Use IHC Kit
MYO6 Ready-to-use reagent kit for IHC.
Reactivity
Human, Mouse, Rat
Sample Type
FFPE tissue
Cat no : KHC0357
Synonyms
DFNA22, DFNB37, KIAA0389, MYO6, myosin VI, Unconventional myosin 6
Validation Data Gallery
Product Information
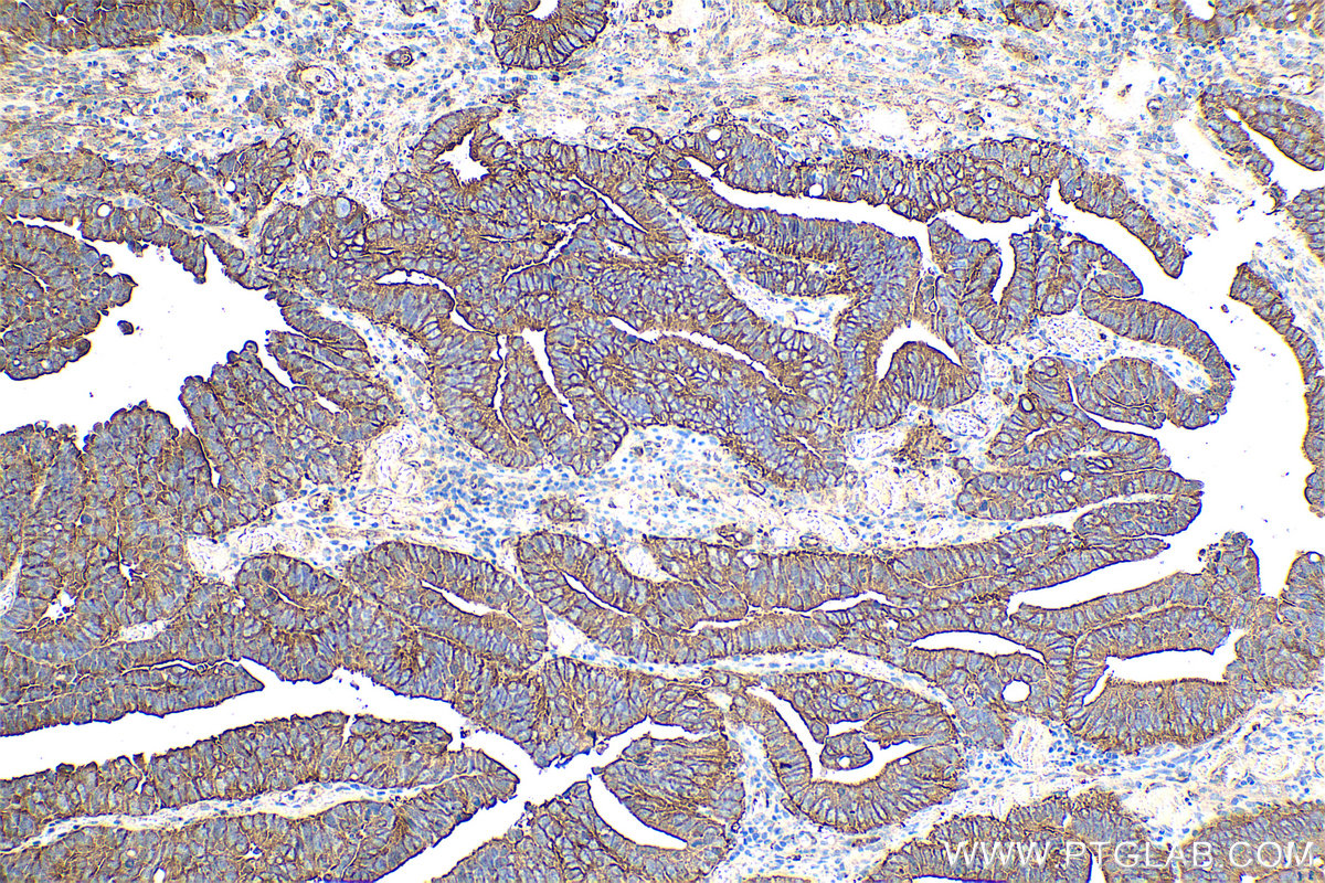
KHC0357 is a ready-to-use IHC kit for staining of MYO6. The kit provides all reagents, from antigen retrieval to cover slip mounting, that require little to no diluting or handling prior to use. Simply apply the reagents to your sample slide according to the protocol and you're steps away from obtaining high-quality IHC data.
| Product name | IHCeasy MYO6 Ready-To-Use IHC Kit |
| Sample type | FFPE tissue |
| Assay type | Immunohistochemistry |
| Primary antibody type | Rabbit Polyclonal |
| Secondary antibody type | Polymer-HRP-Goat anti-Rabbit |
| Reactivity | Human, Mouse, Rat |
Kit components
| Component | Size | Concentration |
|---|---|---|
| Antigen Retrieval Buffer | 100 mL | 50× |
| Washing Buffer | 100 mL ×2 | 20× |
| Blocking Buffer | 5 mL | RTU |
| Primary Antibody | 5 mL | RTU |
| Secondary Antibody | 5 mL | RTU |
| Chromogen Component A | 0.2 mL | RTU |
| Chromogen Component B | 4 mL | RTU |
| Signal Enhancer | 5 mL | RTU |
| Counter Staining Reagent | 5 mL | RTU |
| Mounting Media | 5 mL | RTU |
| Datasheet | 1 Copy | |
| Manual | 1 Copy |
Background Information
MYO6, an actin-based motor protein, is the only myosin known to move toward the minus end of actin filaments. MYO6 is highly expressed in the inner and outer hair cells of the ear, retina, and polarized epithelial cells such as kidney proximal tubule cells and intestinal enterocytes. And it participates in a wide range of biological processes within cells, including clathrin-mediated endocytosis, vesicular membrane traffic, polarized secretion, and autophagy. Previous studies showed that MYO6 is upregulated in various types of cancer, and it has been widely reported to contribute to tumor cell migration and metastasis. Some articles indicate that MYO6 is associated with prostate cancer, lung cancer, human colorectal cancer and gastric cancer.
Properties
| Storage Instructions | All the reagents are stored at 2-8°C. The kit is stable for 6 months from the date of receipt. |
| Synonyms | DFNA22, DFNB37, KIAA0389, MYO6, myosin VI, Unconventional myosin 6 |








