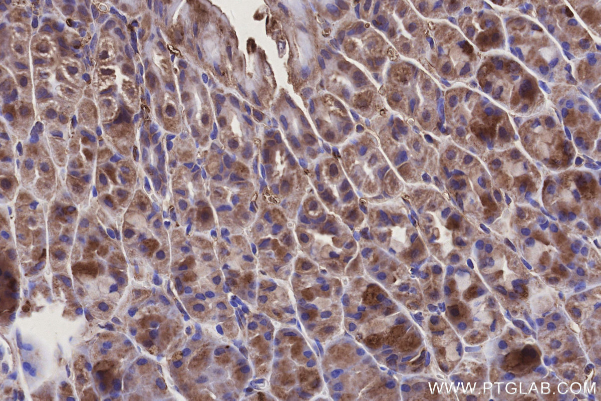
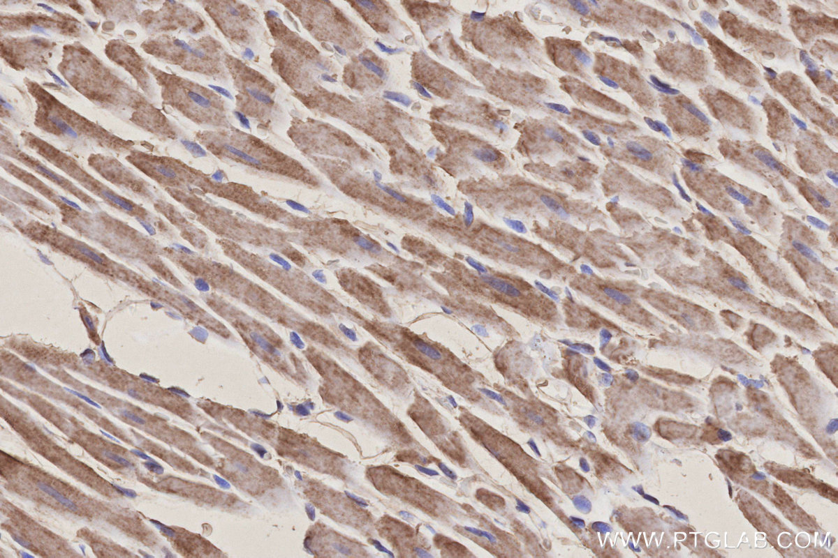
IHCeasy® NDUFB10 Ready-To-Use IHC Kit
NDUFB10 Ready-to-use reagent kit for IHC.
Reactivity
Human, Mouse, Rat
Sample Type
FFPE tissue
Cat no : KHC3158
Synonyms
CI PDSW, CI-PDSW, Complex I PDSW, Complex I-PDSW, NADH-ubiquinone oxidoreductase PDSW subunit
Validation Data Gallery
Product Information
KHC3158 is a ready-to-use IHC kit for staining of NDUFB10. The kit provides all reagents, from antigen retrieval to cover slip mounting, that require little to no diluting or handling prior to use. Simply apply the reagents to your sample slide according to the protocol and you're steps away from obtaining high-quality IHC data.
| Product name | IHCeasy® NDUFB10 Ready-To-Use IHC Kit |
| Sample type | FFPE tissue |
| Assay type | Immunohistochemistry |
| Primary antibody type | Rabbit Polyclonal |
| Secondary antibody type | Polymer-HRP-Goat anti-Rabbit |
| Reactivity | Human, Mouse, Rat |
Kit components
| Component | Size | Concentration |
|---|---|---|
| Antigen Retrieval Buffer | 100 mL | 50× |
| Washing Buffer | 100 mL ×2 | 20× |
| Blocking Buffer | 5 mL | RTU |
| Primary Antibody | 5 mL | RTU |
| Secondary Antibody | 5 mL | RTU |
| Chromogen Component A | 0.2 mL | RTU |
| Chromogen Component B | 4 mL | RTU |
| Signal Enhancer | 5 mL | RTU |
| Counter Staining Reagent | 5 mL | RTU |
| Mounting Media | 5 mL | RTU |
| Datasheet | 1 Copy | |
| Manual | 1 Copy |
Background Information
NDUFB10(NADH dehydrogenase [ubiquinone] 1 beta subcomplex subunit 10) is also named as PDSW and belongs to the complex I NDUFB10 subunit family. It is an accessory subunit of the mitochondrial membrane respiratory chain NADH dehydrogenase (Complex I), that is believed not to be involved in catalysis. The Complex I functions in the transfer of electrons from NADH to the respiratory chain.
Properties
| Storage Instructions | All the reagents are stored at 2-8°C. The kit is stable for 6 months from the date of receipt. |
| Synonyms | CI PDSW, CI-PDSW, Complex I PDSW, Complex I-PDSW, NADH-ubiquinone oxidoreductase PDSW subunit |





