IHCeasy® NF-H/NF200 Ready-To-Use IHC Kit
NF-H/NF200 Ready-to-use reagent kit for IHC.
Reactivity
Human, Mouse, Rat
Sample Type
FFPE tissue
Cat no : KHC0046
Synonyms
200 kDa neurofilament protein, KIAA0845, NEFH, NEH, neurofilament, NF, NF H, NF200, NFH, NF-H
Validation Data Gallery
Product Information
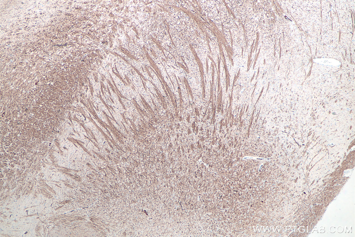
KHC0046 is a ready-to-use IHC kit for staining of NF-H/NF200(neurofilament, heavy polypeptide). The kit provides all reagents, from antigen retrieval to cover slip mounting, that require little to no diluting or handling prior to use. Simply apply the reagents to your sample slide according to the protocol and you're steps away from obtaining high-quality IHC data.
| Product name | IHCeasy NF-H/NF200 Ready-To-Use IHC Kit |
| Sample type | FFPE tissue |
| Assay type | Immunohistochemistry |
| Primary antibody type | Mouse Monoclonal |
| Secondary antibody type | Polymer-HRP-Goat anti-Mouse |
| Reactivity | Human, Mouse, Rat |
Kit components
| Component | Size | Concentration |
|---|---|---|
| Antigen Retrieval Buffer | 100 mL | 50× |
| Washing Buffer | 100 mL ×2 | 20× |
| Blocking Buffer | 5 mL | RTU |
| Primary Antibody | 5 mL | RTU |
| Secondary Antibody | 5 mL | RTU |
| Chromogen Component A | 0.2 mL | RTU |
| Chromogen Component B | 4 mL | RTU |
| Signal Enhancer | 5 mL | RTU |
| Counter Staining Reagent | 5 mL | RTU |
| Mounting Media | 5 mL | RTU |
| Datasheet | 1 Copy | |
| Manual | 1 Copy |
Background Information
Neurofilaments are the 10 nm intermediate filaments found specifically in neurons. They are a major component of the cell's cytoskeleton, and provide support for normal axonal radial growth. Neurofilaments usually contain three intermediate filament proteins: L, M, and H, which are involved in the maintenance of neuronal caliber. This kit is specific to NF-H (also named NF200).
Properties
| Storage Instructions | All the reagents are stored at 2-8°C. The kit is stable for 6 months from the date of receipt. |
| Synonyms | 200 kDa neurofilament protein, KIAA0845, NEFH, NEH, neurofilament, NF, NF H, NF200, NFH, NF-H |




