IHCeasy® PARK7 Ready-To-Use IHC Kit
PARK7 Ready-to-use reagent kit for IHC.
Reactivity
Human, Mouse, Rat
Sample Type
FFPE tissue
Cat no : KHC0557
Synonyms
DJ 1, DJ1, DJ-1, Oncogene DJ1, PARK7, PARK7,DJ-1, Parkinson disease protein 7, Protein DJ 1
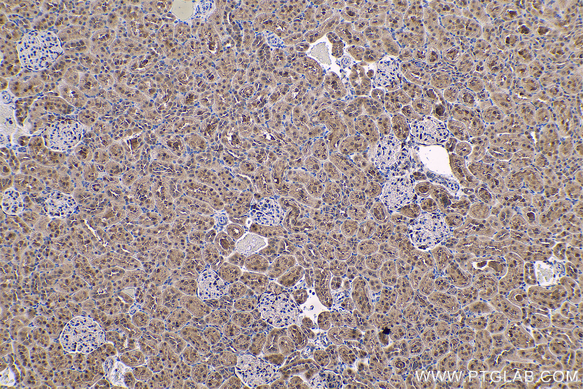
Validation Data Gallery
Product Information
KHC0557 is a ready-to-use IHC kit for staining of PARK7. The kit provides all reagents, from antigen retrieval to cover slip mounting, that require little to no diluting or handling prior to use. Simply apply the reagents to your sample slide according to the protocol and you're steps away from obtaining high-quality IHC data.
| Product name | IHCeasy PARK7 Ready-To-Use IHC Kit |
| Sample type | FFPE tissue |
| Assay type | Immunohistochemistry |
| Primary antibody type | Rabbit Polyclonal |
| Secondary antibody type | Polymer-HRP-Goat anti-Rabbit |
| Reactivity | Human, Mouse, Rat |
Kit components
| Component | Size | Concentration |
|---|---|---|
| Antigen Retrieval Buffer | 100 mL | 50× |
| Washing Buffer | 100 mL ×2 | 20× |
| Blocking Buffer | 5 mL | RTU |
| Primary Antibody | 5 mL | RTU |
| Secondary Antibody | 5 mL | RTU |
| Chromogen Component A | 0.2 mL | RTU |
| Chromogen Component B | 4 mL | RTU |
| Signal Enhancer | 5 mL | RTU |
| Counter Staining Reagent | 5 mL | RTU |
| Mounting Media | 5 mL | RTU |
| Datasheet | 1 Copy | |
| Manual | 1 Copy |
Background Information
PARK7, also named as DJ1, belongs to the peptidase C56 family. It protects cells against oxidative stress and cell death. PARK7 plays a role in regulating expression or stability of the mitochondrial uncoupling proteins SLC25A14 and SLC25A27 in dopaminergic neurons of the substantia nigra pars compacta and attenuates the oxidative stress induced by calcium entry into the neurons via L-type channels during pacemaking. It eliminates hydrogen peroxide and protects cells against hydrogen peroxide-induced cell death. PARK7 has cell-growth promoting activity and transforming activity. It may function as a redox-sensitive chaperone. It's precursor undergoes a cleavage of a C-terminal peptide and subsequent activation of protease activity in response to oxidative stress. The amino acid replace at 166 (L → P) reduces PARK7 protein stability and leads to increased degradation.
Properties
| Storage Instructions | All the reagents are stored at 2-8°C. The kit is stable for 6 months from the date of receipt. |
| Synonyms | DJ 1, DJ1, DJ-1, Oncogene DJ1, PARK7, PARK7,DJ-1, Parkinson disease protein 7, Protein DJ 1 |









