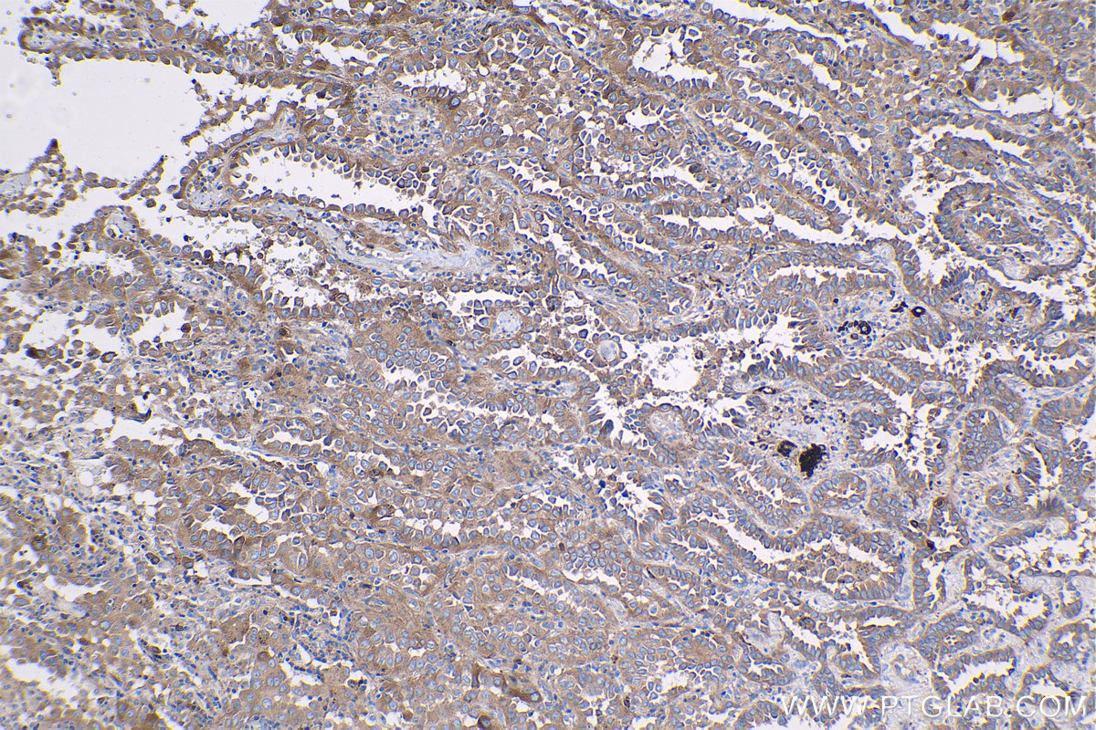
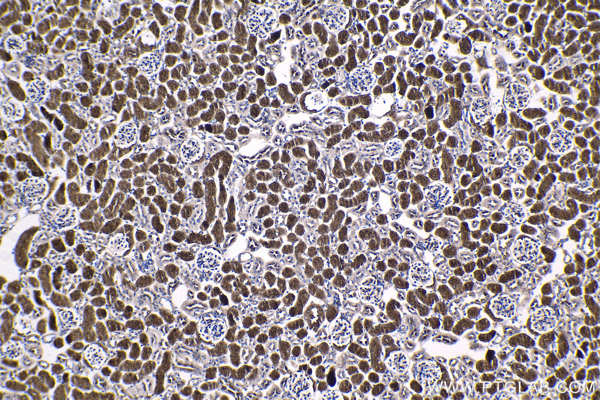
IHCeasy® RRM1 Ready-To-Use IHC Kit
RRM1 Ready-to-use reagent kit for IHC.
Reactivity
Human, Mouse, Rat
Sample Type
FFPE tissue
Cat no : KHC1330
Synonyms
R1, ribonucleotide reductase M1, RIR1, RR1, RRM1
Validation Data Gallery
Product Information
KHC1330 is a ready-to-use IHC kit for staining of RRM1. The kit provides all reagents, from antigen retrieval to cover slip mounting, that require little to no diluting or handling prior to use. Simply apply the reagents to your sample slide according to the protocol and you're steps away from obtaining high-quality IHC data.
| Product name | IHCeasy RRM1 Ready-To-Use IHC Kit |
| Sample type | FFPE tissue |
| Assay type | Immunohistochemistry |
| Primary antibody type | Mouse Monoclonal |
| Secondary antibody type | Polymer-HRP-Goat anti-Mouse |
| Reactivity | Human, Mouse, Rat |
Kit components
| Component | Size | Concentration |
|---|---|---|
| Antigen Retrieval Buffer | 100 mL | 50× |
| Washing Buffer | 100 mL ×2 | 20× |
| Blocking Buffer | 5 mL | RTU |
| Primary Antibody | 5 mL | RTU |
| Secondary Antibody | 5 mL | RTU |
| Chromogen Component A | 0.2 mL | RTU |
| Chromogen Component B | 4 mL | RTU |
| Signal Enhancer | 5 mL | RTU |
| Counter Staining Reagent | 5 mL | RTU |
| Mounting Media | 5 mL | RTU |
| Datasheet | 1 Copy | |
| Manual | 1 Copy |
Background Information
Ribonucleoside-diphosphate reductase functions as a heterodimer of a large and a small subunits in deoxyribonucleotide synthesis. RRM1 constitutes to the large subunit (R1) of ribonucleotide reductase, and it can either form heterodimer with small subunit RRM or RRM2B. RRM1 provides the precursors necessary for DNA synthesis. RRM1 can not be detected in quiescent cells, while its mRNA and protein are present throughout the cell cycle in cycling cells. Researches showed that RRM1 is involved in carcinogenesis, tumor progression, and the resistance of non-small-cell lung cancer (NSCLC) to treatment. Low level expression of RRM1 in NSCLC is associated with poor survival.
Properties
| Storage Instructions | All the reagents are stored at 2-8°C. The kit is stable for 6 months from the date of receipt. |
| Synonyms | R1, ribonucleotide reductase M1, RIR1, RR1, RRM1 |







