验证数据展示
经过测试的应用
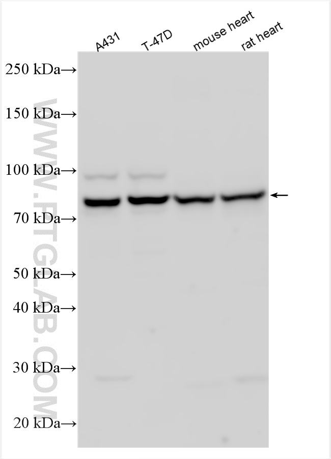
| Positive WB detected in | mouse heart tissue, human heart tissue, HeLa cells, T-47D cells, A431 cells |
| Positive IP detected in | HT-29 cells |
| Positive IHC detected in | human pancreas cancer tissue, human breast cancer tissue, human colon cancer tissue, human skin tissue Note: suggested antigen retrieval with TE buffer pH 9.0; (*) Alternatively, antigen retrieval may be performed with citrate buffer pH 6.0 |
推荐稀释比
| 应用 | 推荐稀释比 |
|---|---|
| Western Blot (WB) | WB : 1:500-1:2000 |
| Immunoprecipitation (IP) | IP : 0.5-4.0 ug for 1.0-3.0 mg of total protein lysate |
| Immunohistochemistry (IHC) | IHC : 1:50-1:200 |
| It is recommended that this reagent should be titrated in each testing system to obtain optimal results. | |
| Sample-dependent, Check data in validation data gallery. | |
产品信息
11146-1-AP targets Gamma Catenin in WB, IHC, IF, IP, ELISA applications and shows reactivity with human, mouse, rat samples.
| 经测试应用 | WB, IHC, IP, ELISA Application Description |
| 文献引用应用 | WB, IHC, IF, IP |
| 经测试反应性 | human, mouse, rat |
| 文献引用反应性 | human, mouse, rat |
| 免疫原 |
CatNo: Ag1627 Product name: Recombinant human JUP protein Source: e coli.-derived, PGEX-4T Tag: GST Domain: 396-745 aa of BC011865 Sequence: LVNQLSVDDVNVLTCATGTLSNLTCNNSKNKTLVTQNSGVEALIHAILRAGDKDDITEPAVCALRHLTSRHPEAEMAQNSVRLNYGIPAIVKLLNQPNQWPLVKATIGLIRNLALCPANHAPLQEAAVIPRLVQLLVKAHQDAQRHVAAGTQQPYTDGVRMEEIVEGCTGALHILARDPMNRMEIFRLNTIPLFVQLLYSSVENIQRVAAGVLCELAQDKEAADAIDAEGASAPLMELLHSRNEGTATYAAAVLFRISEDKNPDYRKRVSVELTNSLFKHDPAAWEAAQSMIPINEPYGDDLDATYRPMYSSDVPLDPLEMHMDMDGDYPIDTYSDGLRPPYPTADHMLA 种属同源性预测 |
| 宿主/亚型 | Rabbit / IgG |
| 抗体类别 | Polyclonal |
| 产品类型 | Antibody |
| 全称 | junction plakoglobin |
| 别名 | JUP, JUP/gamma Catenin, γ-Catenin, ARVD12, Catenin gamma |
| 计算分子量 | 82 kDa |
| 观测分子量 | 82 kDa |
| GenBank蛋白编号 | BC011865 |
| 基因名称 | Gamma Catenin |
| Gene ID (NCBI) | 3728 |
| RRID | AB_2265007 |
| 偶联类型 | Unconjugated |
| 形式 | Liquid |
| 纯化方式 | Antigen affinity purification |
| UNIPROT ID | P14923 |
| 储存缓冲液 | PBS with 0.02% sodium azide and 50% glycerol, pH 7.3. |
| 储存条件 | Store at -20°C. Stable for one year after shipment. Aliquoting is unnecessary for -20oC storage. |
背景介绍
Plakoglobin (γ-catenin), a member of the Armadillo proteins, plays important roles in cell adhesion with α-catenin and β-catenin, is involved in Wnt signaling, and is translocated into the nucleus and binds LEF1. Plakoglobin is a major cytoplasmic component of both desmosomes and adherens junctions, and is the only known constituent common to submembranous plaques in both of these structures, which are located at the intercalated disc (ICD) of cardiomyocytes. Plakoglobin links cadherins to the actin cytoskeleton. Mutations in plakoglobin are associated with arrhythmogenic right ventricular dysplasia and Pemphigus vulgaris.
实验方案
| Product Specific Protocols | |
|---|---|
| IHC protocol for Gamma Catenin antibody 11146-1-AP | Download protocol |
| IP protocol for Gamma Catenin antibody 11146-1-AP | Download protocol |
| WB protocol for Gamma Catenin antibody 11146-1-AP | Download protocol |
| Standard Protocols | |
|---|---|
| Click here to view our Standard Protocols |
发表文章
| Species | Application | Title |
|---|---|---|
J Clin Invest The FOXN3-NEAT1-SIN3A repressor complex promotes progression of hormonally responsive breast cancer. | ||
Oncogene Loss of giant obscurins from breast epithelium promotes epithelial-to-mesenchymal transition, tumorigenicity and metastasis. | ||
PLoS One Quantitative Proteomic Profiling the Molecular Signatures of Annexin A5 in Lung Squamous Carcinoma Cells. | ||
Biochem Biophys Res Commun Plakoglobin is involved in cytoskeletal rearrangement of podocytes under the regulation of UCH-L1. | ||
Cell Rep CYLD deubiquitinates plakoglobin to promote Cx43 membrane targeting and gap junction assembly in the heart | ||
Int J Mol Sci Diagnostic and Prognostic Markers for Pancreatitis and Pancreatic Ductal Adenocarcinoma |















