IHCeasy® Dystrophin/DMD Ready-To-Use IHC Kit
Dystrophin/DMD Ready-to-use reagent kit for IHC.
Reactivity
Human, Mouse, Rat
Sample Type
FFPE tissue
Cat no : KHC0284
Synonyms
BMD, CMD3B, DMD, DXS142, DXS164, DXS206, DXS230, DXS239, DXS268, DXS269, DXS270, DXS272, dystrophin
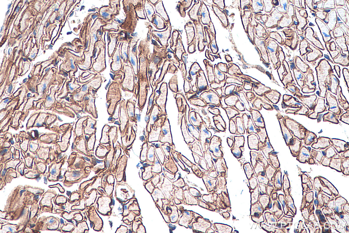
Validation Data Gallery
Product Information
KHC0284 is a ready-to-use IHC kit for staining of Dystrophin/DMD. The kit provides all reagents, from antigen retrieval to cover slip mounting, that require little to no diluting or handling prior to use. Simply apply the reagents to your sample slide according to the protocol and you're steps away from obtaining high-quality IHC data.
| Product name | IHCeasy Dystrophin/DMD Ready-To-Use IHC Kit |
| Sample type | FFPE tissue |
| Assay type | Immunohistochemistry |
| Primary antibody type | Rabbit Polyclonal |
| Secondary antibody type | Polymer-HRP-Goat anti-Rabbit |
| Reactivity | Human, Mouse, Rat |
Kit components
| Component | Size | Concentration |
|---|---|---|
| Antigen Retrieval Buffer | 100 mL | 50× |
| Washing Buffer | 100 mL ×2 | 20× |
| Blocking Buffer | 5 mL | RTU |
| Primary Antibody | 5 mL | RTU |
| Secondary Antibody | 5 mL | RTU |
| Chromogen Component A | 0.2 mL | RTU |
| Chromogen Component B | 4 mL | RTU |
| Signal Enhancer | 5 mL | RTU |
| Counter Staining Reagent | 5 mL | RTU |
| Mounting Media | 5 mL | RTU |
| Datasheet | 1 Copy | |
| Manual | 1 Copy |
Background Information
Dystrophin (DMD or BMD) is a large muscle protein whose mutations cause Duchenne muscular dystrophy (DMD) and Becker muscular dystrophy (BMD), the childhood neuromuscular disorders that result in progressive muscle weakness, respiratory difficulties and cardiovascular dysfunction. Dystrophin is a crucial component of the dystrophin-glycoprotein complex which is essential for muscle membrane integrity and stability. Dystrophin is located on the cytoplasmic face of the sarcolemma and connects the cytoskeletal network to the sarcolemma and extracellular matrix.
Properties
| Storage Instructions | All the reagents are stored at 2-8°C. The kit is stable for 6 months from the date of receipt. |
| Synonyms | BMD, CMD3B, DMD, DXS142, DXS164, DXS206, DXS230, DXS239, DXS268, DXS269, DXS270, DXS272, dystrophin |










