IHCeasy® MYL9 Ready-To-Use IHC Kit
MYL9 Ready-to-use reagent kit for IHC.
Reactivity
Human, Mouse, Rat
Sample Type
FFPE tissue
Cat no : KHC0345
Synonyms
20 kDa myosin light chain, LC20, MLC 2C, MLC2, MRLC1, MYL9, Myosin RLC, MYRL2
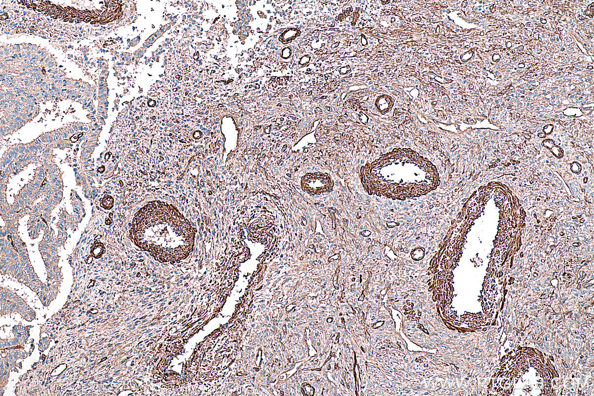
Validation Data Gallery
Product Information
KHC0345 is a ready-to-use IHC kit for staining of MYL9. The kit provides all reagents, from antigen retrieval to cover slip mounting, that require little to no diluting or handling prior to use. Simply apply the reagents to your sample slide according to the protocol and you're steps away from obtaining high-quality IHC data.
| Product name | IHCeasy MYL9 Ready-To-Use IHC Kit |
| Sample type | FFPE tissue |
| Assay type | Immunohistochemistry |
| Primary antibody type | Rabbit Polyclonal |
| Secondary antibody type | Polymer-HRP-Goat anti-Rabbit |
| Reactivity | Human, Mouse, Rat |
Kit components
| Component | Size | Concentration |
|---|---|---|
| Antigen Retrieval Buffer | 100 mL | 50× |
| Washing Buffer | 100 mL ×2 | 20× |
| Blocking Buffer | 5 mL | RTU |
| Primary Antibody | 5 mL | RTU |
| Secondary Antibody | 5 mL | RTU |
| Chromogen Component A | 0.2 mL | RTU |
| Chromogen Component B | 4 mL | RTU |
| Signal Enhancer | 5 mL | RTU |
| Counter Staining Reagent | 5 mL | RTU |
| Mounting Media | 5 mL | RTU |
| Datasheet | 1 Copy | |
| Manual | 1 Copy |
Background Information
Myosin regulatory light polypeptide 9 (MYL9), also known as MLC2, belongs to the myosin regulatory subunits. It plays an important role in regulation of both smooth muscle and nonmuscle cell contractile activity via its phosphorylation at Thr19 and Ser20. Implicated in cytokinesis, receptor capping, and cell locomotion. Some studies have demonstrated that MYL9 may play important roles in various human cancers. MYL9 was the only gene differentially expressed in the aged versus young injured arteries in the rat smooth muscle cell layers.
Properties
| Storage Instructions | All the reagents are stored at 2-8°C. The kit is stable for 6 months from the date of receipt. |
| Synonyms | 20 kDa myosin light chain, LC20, MLC 2C, MLC2, MRLC1, MYL9, Myosin RLC, MYRL2 |






