验证数据展示
经过测试的应用
| Positive WB detected in | C2C12 cells, HEK-293 cells, HCT 116 cells, HeLa cells, K-562 cells, NIH/3T3 cells, PC-12 cells, RAW 264.7 cells |
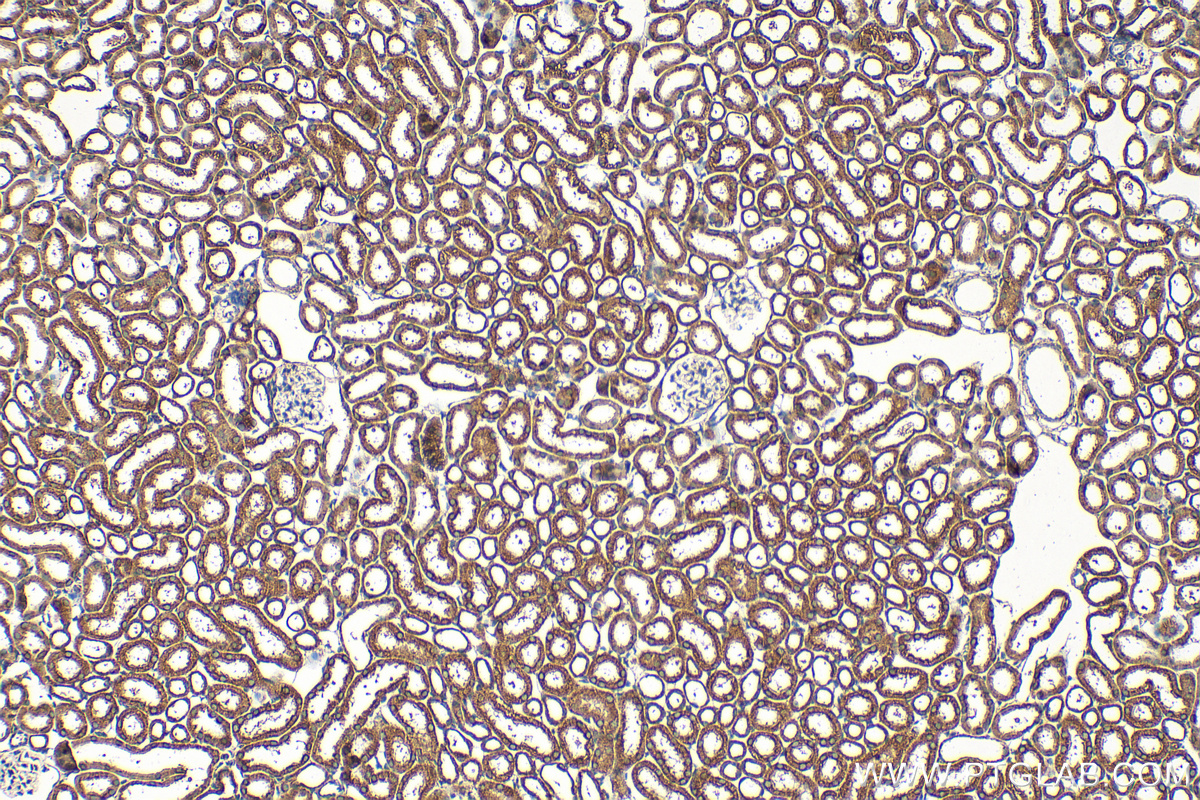
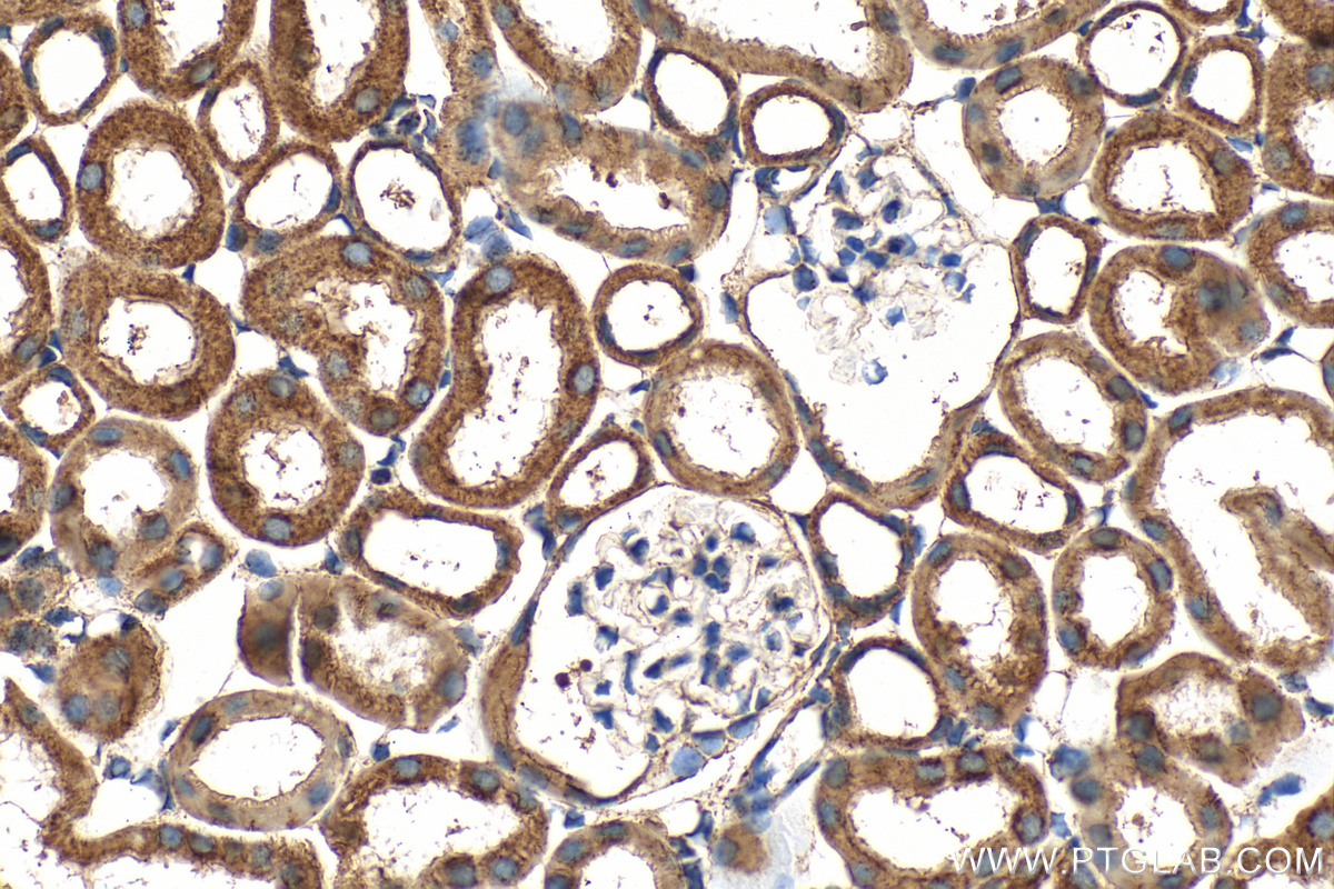
| Positive IHC detected in | human tonsillitis tissue, human breast cancer tissue, mouse kidney tissue Note: suggested antigen retrieval with TE buffer pH 9.0; (*) Alternatively, antigen retrieval may be performed with citrate buffer pH 6.0 |
| Positive IF/ICC detected in | NIH/3T3 cells, HeLa cells |
推荐稀释比
| 应用 | 推荐稀释比 |
|---|---|
| Western Blot (WB) | WB : 1:5000-1:50000 |
| Immunohistochemistry (IHC) | IHC : 1:50-1:500 |
| Immunofluorescence (IF)/ICC | IF/ICC : 1:50-1:500 |
| It is recommended that this reagent should be titrated in each testing system to obtain optimal results. | |
| Sample-dependent, Check data in validation data gallery. | |
产品信息
24474-1-AP targets C1QBP in WB, IHC, IF/ICC, ELISA applications and shows reactivity with human, mouse, rat samples.
| 经测试应用 | WB, IHC, IF/ICC, ELISA Application Description |
| 文献引用应用 | WB, IHC, IF |
| 经测试反应性 | human, mouse, rat |
| 文献引用反应性 | human, mouse, rat |
| 免疫原 |
CatNo: Ag19773 Product name: Recombinant human C1QBP protein Source: e coli.-derived, PGEX-4T Tag: GST Domain: 1-282 aa of BC013731 Sequence: MLPLLRCVPRVLGSSVAGLRAAAPASPFRQLLQPAPRLCTRPFGLLSVRAGSERRPGLLRPRGPCACGCGCGSLHTDGDKAFVDFLSDEIKEERKIQKHKTLPKMSGGWELELNGTEAKLVRKVAGEKITVTFNINNSIPPTFDGEEEPSQGQKVEEQEPELTSTPNFVVEVIKNDDGKKALVLDCHYPEDEVGQEDEAESDIFSIREVSFQSTGESEWKDTNYTLNTDSLDWALYDHLMDFLADRGVDNTFADELVELSTALEHQEYITFLEDLKSFVKSQ 种属同源性预测 |
| 宿主/亚型 | Rabbit / IgG |
| 抗体类别 | Polyclonal |
| 产品类型 | Antibody |
| 全称 | complement component 1, q subcomponent binding protein |
| 别名 | gC1Q R, ASF/SF2-associated protein p32, Complement component 1 Q subcomponent-binding protein, mitochondrial, GC1q R protein, GC1QBP |
| 计算分子量 | 282 aa, 31 kDa |
| 观测分子量 | 32-35 kDa |
| GenBank蛋白编号 | BC013731 |
| 基因名称 | C1QBP |
| Gene ID (NCBI) | 708 |
| RRID | AB_2827427 |
| 偶联类型 | Unconjugated |
| 形式 | Liquid |
| 纯化方式 | Antigen affinity purification |
| UNIPROT ID | Q07021 |
| 储存缓冲液 | PBS with 0.02% sodium azide and 50% glycerol, pH 7.3. |
| 储存条件 | Store at -20°C. Stable for one year after shipment. Aliquoting is unnecessary for -20oC storage. |
背景介绍
C1QBP, also named as gC1q receptor (gC1qR), p32, p33, and hyaluronan-binding protein 1 (HABP1), is a protein initially copurified with splicing factor SF2 (PMID: 1830244). The protein is synthesized as a pro-protein of 282 amino acids (aa) that is post-translationally processed by removal of the initial 73 aa to a mature protein of 209 aa (PMID: 8262387). C1QBP is an evolutionary conserved and ubiquitously expressed multifunctional protein and has been reported to be a predominantly mitochondrial matrix protein involved in inflammation and infection processes, mitochondrial ribosome biogenesis, regulation of apoptosis and nuclear transcription, and pre-mRNA splicing (PMID: 28942965).
实验方案
| Product Specific Protocols | |
|---|---|
| IF protocol for C1QBP antibody 24474-1-AP | Download protocol |
| IHC protocol for C1QBP antibody 24474-1-AP | Download protocol |
| WB protocol for C1QBP antibody 24474-1-AP | Download protocol |
| Standard Protocols | |
|---|---|
| Click here to view our Standard Protocols |
发表文章
| Species | Application | Title |
|---|---|---|
Blood C1Q labels a highly aggressive macrophage-like leukemia population indicating extramedullary infiltration and relapse
| ||
Proc Natl Acad Sci U S A A nucleolar long "non-coding" RNA encodes a novel protein that functions in response to stress | ||
J Control Release PSMA-targeted nanoparticles for specific penetration of blood-brain tumor barrier and combined therapy of brain metastases. | ||
J Ethnopharmacol Exploring the therapeutic effects and molecular mechanisms of total flavonoids of Abelmoschus manihot (L.) Medic in the treatment of IgA nephropathy based on WGCNA | ||
Cancer Sci Complement C1q binding protein regulates T cells' mitochondrial fitness to affect their survival, proliferation, and anti-tumor immune function.
| ||
Int J Mol Sci The Expression Pattern of p32 in Sheep Muscle and Its Role in Differentiation, Cell Proliferation, and Apoptosis of Myoblasts.
|









