验证数据展示
经过测试的应用
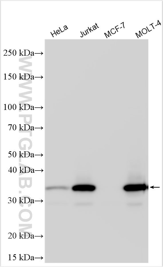
| Positive WB detected in | HeLa cells, HEK-293 cells, Jurkat cells, HepG2 cells, K-562 cells, HSC-T6 cells |
| Positive IP detected in | Jurkat cells |
| Positive IHC detected in | human lung cancer tissue, human gliomas tissue, human endometrial cancer tissue Note: suggested antigen retrieval with TE buffer pH 9.0; (*) Alternatively, antigen retrieval may be performed with citrate buffer pH 6.0 |
| Positive IF/ICC detected in | HeLa cells |
| Positive FC (Intra) detected in | HeLa cells |
推荐稀释比
| 应用 | 推荐稀释比 |
|---|---|
| Western Blot (WB) | WB : 1:2000-1:12000 |
| Immunoprecipitation (IP) | IP : 0.5-4.0 ug for 1.0-3.0 mg of total protein lysate |
| Immunohistochemistry (IHC) | IHC : 1:50-1:500 |
| Immunofluorescence (IF)/ICC | IF/ICC : 1:200-1:800 |
| Flow Cytometry (FC) (INTRA) | FC (INTRA) : 0.40 ug per 10^6 cells in a 100 µl suspension |
| It is recommended that this reagent should be titrated in each testing system to obtain optimal results. | |
| Sample-dependent, Check data in validation data gallery. | |
发表文章中的应用
| WB | See 18 publications below |
| IHC | See 1 publications below |
产品信息
19117-1-AP targets CDK6 in WB, IHC, IF/ICC, FC (Intra), IP, ELISA applications and shows reactivity with human, mouse, rat samples.
| 经测试应用 | WB, IHC, IF/ICC, FC (Intra), IP, ELISA Application Description |
| 文献引用应用 | WB, IHC |
| 经测试反应性 | human, mouse, rat |
| 文献引用反应性 | human, mouse, rat |
| 免疫原 |
CatNo: Ag5600 Product name: Recombinant human CDK6 protein Source: e coli.-derived, PET28a Tag: 6*His Domain: 1-326 aa of BC027989 Sequence: MEKDGLCRADQQYECVAEIGEGAYGKVFKARDLKNGGRFVALKRVRVQTGEEGMPLSTIREVAVLRHLETFEHPNVVRLFDVCTVSRTDRETKLTLVFEHVDQDLTTYLDKVPEPGVPTETIKDMMFQLLRGLDFLHSHRVVHRDLKPQNILVTSSGQIKLADFGLARIYSFQMALTSVVVTLWYRAPEVLLQSSYATPVDLWSVGCIFAEMFRRKPLFRGSSDVDQLGKILDVIGLPGEEDWPRDVALPRQAFHSKSAQPIEKFVTDIDELGKDLLLKCLTFNPAKRISAYSALSHPYFQDLERCKENLDSHLPPSQNTSELNTA 种属同源性预测 |
| 宿主/亚型 | Rabbit / IgG |
| 抗体类别 | Polyclonal |
| 产品类型 | Antibody |
| 全称 | cyclin-dependent kinase 6 |
| 别名 | CDKN6, Cell division protein kinase 6, Cyclin dependent kinase 6, Cyclin-dependent kinase 6, EC:2.7.11.22 |
| 计算分子量 | 326 aa, 36 kDa |
| 观测分子量 | 36-40 kDa |
| GenBank蛋白编号 | BC027989 |
| 基因名称 | CDK6 |
| Gene ID (NCBI) | 1021 |
| RRID | AB_10640575 |
| 偶联类型 | Unconjugated |
| 形式 | Liquid |
| 纯化方式 | Antigen affinity purification |
| UNIPROT ID | Q00534 |
| 储存缓冲液 | PBS with 0.02% sodium azide and 50% glycerol, pH 7.3. |
| 储存条件 | Store at -20°C. Stable for one year after shipment. Aliquoting is unnecessary for -20oC storage. |
背景介绍
CDK6(Cyclin-dependent kinase 6) is involved in initiation and maintenance of cell cycle exit during cell differentiation and it prevents cell proliferation and regulates negatively cell differentiation, but is required for the proliferation of specific cell types.The molecular weight of CDK6 is 36-40 KDa (PMID: 23563707, 8114739).
实验方案
| Product Specific Protocols | |
|---|---|
| IF protocol for CDK6 antibody 19117-1-AP | Download protocol |
| IHC protocol for CDK6 antibody 19117-1-AP | Download protocol |
| IP protocol for CDK6 antibody 19117-1-AP | Download protocol |
| WB protocol for CDK6 antibody 19117-1-AP | Download protocol |
| Standard Protocols | |
|---|---|
| Click here to view our Standard Protocols |
发表文章
| Species | Application | Title |
|---|---|---|
Theranostics Estrogen-induced circRNA, circPGR, functions as a ceRNA to promote estrogen receptor-positive breast cancer cell growth by regulating cell cycle-related genes. | ||
Cancers (Basel) A Patient-Derived Xenograft Model of Dedifferentiated Endometrial Carcinoma: A Proof-of-Concept Study for the Identification of New Molecularly Informed Treatment Approaches. | ||
Oncotarget High expression of N-myc (and STAT) interactor predicts poor prognosis and promotes tumor growth in human glioblastoma. | ||
Front Pharmacol Oxymatrine Inhibits Renal Cell Carcinoma Progression by Suppressing β-Catenin Expression. | ||
Cancer Biother Radiopharm γ-Glutamylcyclotransferase Knockdown Inhibits Growth of Lung Cancer Cells Through G0/G1 Phase Arrest. | ||
Cancer Med δ-Catenin regulates proliferation and apoptosis in renal cell carcinoma via promoting β-catenin nuclear localization and activating its downstream target genes. |











