验证数据展示
经过测试的应用
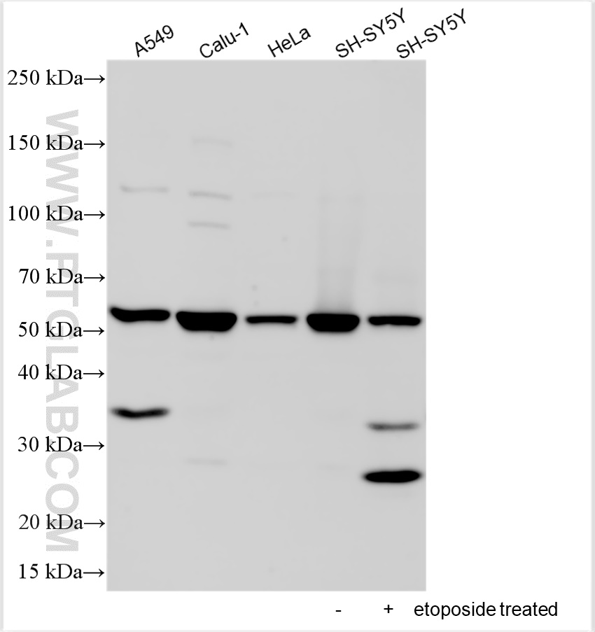
| Positive WB detected in | SH-SY5Y cells, A549 cells, Y79 cells, HeLa cells, Calu-1 cells, untreated, and etoposide (60uM, 5h) treated SH-SY5Y cells |
| Positive IP detected in | SH-SY5Y cells |
| Positive IHC detected in | mouse brain tissue, mouse small intestine tissue Note: suggested antigen retrieval with TE buffer pH 9.0; (*) Alternatively, antigen retrieval may be performed with citrate buffer pH 6.0 |
| Positive FC (Intra) detected in | SH-SY5Y cells |
推荐稀释比
| 应用 | 推荐稀释比 |
|---|---|
| Western Blot (WB) | WB : 1:1000-1:8000 |
| Immunoprecipitation (IP) | IP : 0.5-4.0 ug for 1.0-3.0 mg of total protein lysate |
| Immunohistochemistry (IHC) | IHC : 1:200-1:800 |
| Flow Cytometry (FC) (INTRA) | FC (INTRA) : 0.40 ug per 10^6 cells in a 100 µl suspension |
| It is recommended that this reagent should be titrated in each testing system to obtain optimal results. | |
| Sample-dependent, Check data in validation data gallery. | |
产品信息
13075-1-AP targets DFNA5/GSDME in WB, IHC, IF, FC (Intra), IP, CoIP, ELISA applications and shows reactivity with human, mouse samples.
| 经测试应用 | WB, IHC, FC (Intra), IP, ELISA Application Description |
| 文献引用应用 | WB, IHC, IF, CoIP |
| 经测试反应性 | human, mouse |
| 文献引用反应性 | human, mouse, rat |
| 免疫原 |
CatNo: Ag3746 Product name: Recombinant human DFNA5 protein Source: e coli.-derived, PGEX-4T Tag: GST Domain: 111-460 aa of BC019689 Sequence: SQSSFGTLRKQEVDLQQLIRDSAERTINLRNPVLQQVLEGRNEVLCVLTQKITTMQKCVISEHMQVEEKCGGIVGIQTKTVQVSATEDGNVTKDSNVVLEIPAATTIAYGVIELYVKLDGQFEFCLLRGKQGGFENKKRIDSVYLDPLVFREFAFIDMPDAAHGISSQDGPLSVLKQATLLLERNFHPFAELPEPQQTALSDIFQAVLFDDELLMVLEPVCDDLVSGLSPTVAVLGELKPRQQQDLVAFLQLVGCSLQGGCPGPEDAGSKQLFMTAYFLVSALAEMPDSAAALLGTCCKLQIIPTLCHLLRALSDDGVSDLEDPTLTPLKDTERFGIVQRLFASADISL 种属同源性预测 |
| 宿主/亚型 | Rabbit / IgG |
| 抗体类别 | Polyclonal |
| 产品类型 | Antibody |
| 全称 | deafness, autosomal dominant 5 |
| 别名 | DFNA5, Gasdermin E, Gasdermin-E, GSDME, deafness, autosomal dominant 5 |
| 计算分子量 | 496 aa, 55 kDa |
| 观测分子量 | 55 kDa, 35 kDa, 25 kDa |
| GenBank蛋白编号 | BC019689 |
| 基因名称 | DFNA5 |
| Gene ID (NCBI) | 1687 |
| RRID | AB_2093053 |
| 偶联类型 | Unconjugated |
| 形式 | Liquid |
| 纯化方式 | Antigen affinity purification |
| UNIPROT ID | O60443 |
| 储存缓冲液 | PBS with 0.02% sodium azide and 50% glycerol, pH 7.3. |
| 储存条件 | Store at -20°C. Stable for one year after shipment. Aliquoting is unnecessary for -20oC storage. |
背景介绍
DFNA5 (deafness, autosomal dominant 5), also known as GSDME or ICERE-1, is a 496 amino acid protein that is expressed in cochlea tissue, as well as in placenta, brain, heart, liver, lung and pancreas. Defects in the gene encoding DFNA5 are the cause of non-syndromic sensorineural deafness autosomal dominant type 5 (DFNA5), a form of sensorineural hearing loss that results from damage to one of various structures that receive sound information in the brain. GSDME produced two GSDME fragments with MW of 35 kDa and 25 kDa.
实验方案
| Product Specific Protocols | |
|---|---|
| FC protocol for DFNA5/GSDME antibody 13075-1-AP | Download protocol |
| IHC protocol for DFNA5/GSDME antibody 13075-1-AP | Download protocol |
| IP protocol for DFNA5/GSDME antibody 13075-1-AP | Download protocol |
| WB protocol for DFNA5/GSDME antibody 13075-1-AP | Download protocol |
| Standard Protocols | |
|---|---|
| Click here to view our Standard Protocols |
发表文章
| Species | Application | Title |
|---|---|---|
Cell Res Mannose antagonizes GSDME-mediated pyroptosis through AMPK activated by metabolite GlcNAc-6P | ||
Acta Pharm Sin B A high-throughput Gaussia luciferase reporter assay for screening potential gasdermin E activators against pancreatic cancer | ||
J Control Release Enhancing cell pyroptosis with biomimetic nanoparticles for melanoma chemo-immunotherapy | ||
Cell Death Differ GSDME-mediated pyroptosis promotes inflammation and fibrosis in obstructive nephropathy. | ||
J Nanobiotechnology Hydralazine loaded nanodroplets combined with ultrasound-targeted microbubble destruction to induce pyroptosis for tumor treatment | ||
Cell Death Dis TNFSF15 inhibits progression of diabetic retinopathy by blocking pyroptosis via interacting with GSDME |











