验证数据展示
经过测试的应用
| Positive WB detected in | HeLa cells, Raji cells, HepG2 cells |
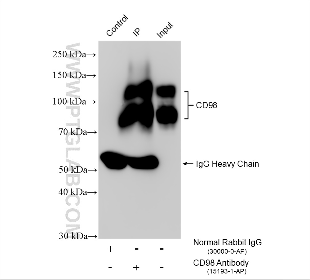
| Positive IP detected in | HeLa cells |
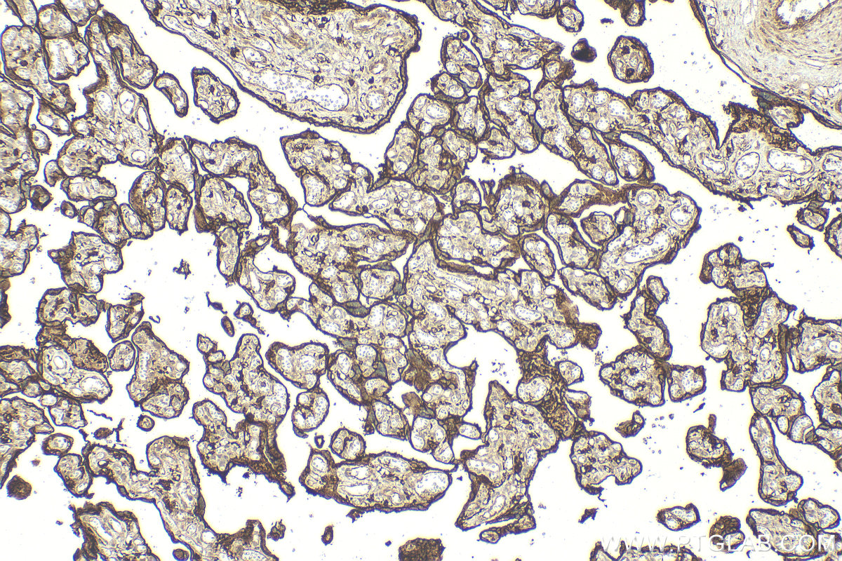
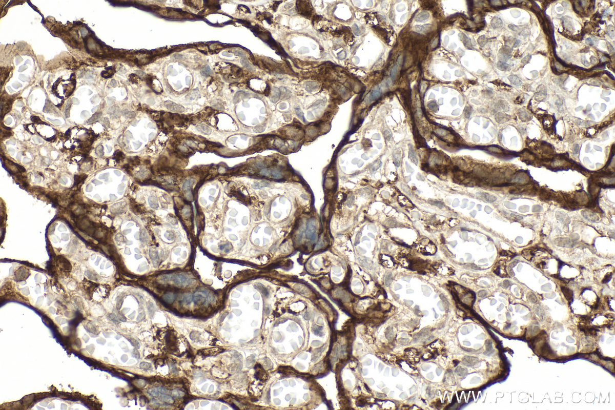
| Positive IHC detected in | human placenta tissue Note: suggested antigen retrieval with TE buffer pH 9.0; (*) Alternatively, antigen retrieval may be performed with citrate buffer pH 6.0 |
| Positive IF/ICC detected in | HepG2 cells |
推荐稀释比
| 应用 | 推荐稀释比 |
|---|---|
| Western Blot (WB) | WB : 1:5000-1:50000 |
| Immunoprecipitation (IP) | IP : 0.5-4.0 ug for 1.0-3.0 mg of total protein lysate |
| Immunohistochemistry (IHC) | IHC : 1:200-1:800 |
| Immunofluorescence (IF)/ICC | IF/ICC : 1:200-1:800 |
| It is recommended that this reagent should be titrated in each testing system to obtain optimal results. | |
| Sample-dependent, Check data in validation data gallery. | |
产品信息
15193-1-AP targets CD98/SLC3A2 in WB, IHC, IF/ICC, IP, CoIP, ELISA applications and shows reactivity with human samples.
| 经测试应用 | WB, IHC, IF/ICC, IP, ELISA Application Description |
| 文献引用应用 | WB, IHC, IF, IP, CoIP |
| 经测试反应性 | human |
| 文献引用反应性 | human, bovine, sheep |
| 免疫原 |
CatNo: Ag7280 Product name: Recombinant human SLC3A2 protein Source: e coli.-derived, PGEX-4T Tag: GST Domain: 269-630 aa of BC001061 Sequence: KDDVAQTDLLQIDPNFGSKEDFDSLLQSAKKKSIRVILDLTPNYRGENSWFSTQVDTVATKVKDALEFWLQAGVDGFQVRDIENLKDASSFLAEWQNITKGFSEDRLLIAGTNSSDLQQILSLLESNKDLLLTSSYLSDSGSTGEHTKSLVTQYLNATGNRWCSWSLSQARLLTSFLPAQLLRLYQLMLFTLPGTPVFSYGDEIGLDAAALPGQPMEAPVMLWDESSFPDIPGAVSANMTVKGQSEDPGSLLSLFRRLSDQRSKERSLLHGDFHAFSAGPGLFSYIRHWDQNERFLVVLNFGDVGLSAGLQASDLPASASLPAKADLLLSTQPGREEGSPLELERLKLEPHEGLLLRFPYAA 种属同源性预测 |
| 宿主/亚型 | Rabbit / IgG |
| 抗体类别 | Polyclonal |
| 产品类型 | Antibody |
| 全称 | solute carrier family 3 (activators of dibasic and neutral amino acid transport), member 2 |
| 别名 | CD98, SLC3A2, 4F2 cell-surface antigen heavy chain, Amino acid transporter heavy chain SLC3A2, MDU1 |
| 计算分子量 | 68 kDa |
| 观测分子量 | 85-94 kDa, 120-130 kDa |
| GenBank蛋白编号 | BC001061 |
| 基因名称 | CD98 |
| Gene ID (NCBI) | 6520 |
| RRID | AB_2254909 |
| 偶联类型 | Unconjugated |
| 形式 | Liquid |
| 纯化方式 | Antigen affinity purification |
| UNIPROT ID | P08195 |
| 储存缓冲液 | PBS with 0.02% sodium azide and 50% glycerol, pH 7.3. |
| 储存条件 | Store at -20°C. Stable for one year after shipment. Aliquoting is unnecessary for -20oC storage. |
背景介绍
CD98 is a cell-surface heterodimer consisting of a heavy chain (CD98hc) and a light chain. CD98hc also interacts with certain integrin b-subunits to regulate cell migration, survival, proliferation, and adhesion/polarity. CD98hc is overexpressed on the cell surface of many cancers and increased CD98hc expression is associated with the development and progression of tumors.(PMID:25084765). This protein has 4 isoforms with the molecular mass of 58-71 kDa and can be detected 85-94 kDa due to glycosylation. The glycosylated CD98hc can links to a non-glycosylated light chain (~40 kDa) via a disulfide bond to form a heterodimeric CD98 antigen with molecular mass of 120-130 kDa (PMID: 14770309).
实验方案
| Product Specific Protocols | |
|---|---|
| IF protocol for CD98/SLC3A2 antibody 15193-1-AP | Download protocol |
| IHC protocol for CD98/SLC3A2 antibody 15193-1-AP | Download protocol |
| IP protocol for CD98/SLC3A2 antibody 15193-1-AP | Download protocol |
| WB protocol for CD98/SLC3A2 antibody 15193-1-AP | Download protocol |
| Standard Protocols | |
|---|---|
| Click here to view our Standard Protocols |
发表文章
| Species | Application | Title |
|---|---|---|
ACS Nano Engineering MMP-2 Activated Nanoparticles Carrying B7-H3 Bispecific Antibodies for Ferroptosis-Enhanced Glioblastoma Immunotherapy | ||
Sci Transl Med Selective targeting of multiple myeloma cells with a monoclonal antibody recognizing the ubiquitous protein CD98 heavy chain. | ||
Nat Commun Kir2.1-mediated membrane potential promotes nutrient acquisition and inflammation through regulation of nutrient transporters. | ||
J Allergy Clin Immunol Mast cell surfaceome characterization reveals CD98hc is critical for optimal cell function. | ||
JACC Basic Transl Sci CircBTBD7-420aa Encoded by hsa_circ_0000563 Regulates the Progression of Atherosclerosis and Construction of circBTBD7-420aa Engineered Exosomes | ||
J Hazard Mater ZnO NPs delay the recovery of psoriasis-like skin lesions through promoting nuclear translocation of p-NFκB p65 and cysteine deficiency in keratinocytes. |





