验证数据展示
经过测试的应用
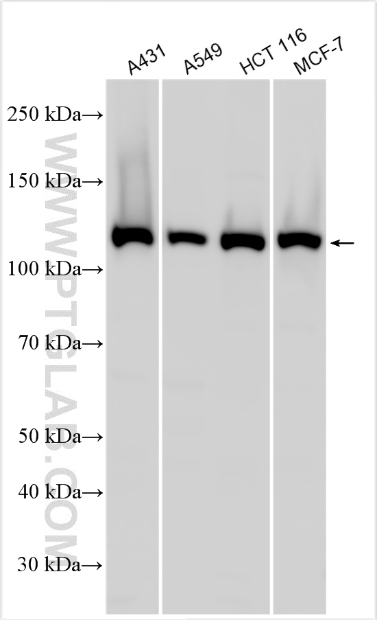
| Positive WB detected in | A431 cells, multi-cells, A549 cells, HCT 116 cells, MCF-7 cells |
| Positive IHC detected in | human breast cancer tissue, human lung cancer tissue Note: suggested antigen retrieval with TE buffer pH 9.0; (*) Alternatively, antigen retrieval may be performed with citrate buffer pH 6.0 |
推荐稀释比
| 应用 | 推荐稀释比 |
|---|---|
| Western Blot (WB) | WB : 1:500-1:2000 |
| Immunohistochemistry (IHC) | IHC : 1:20-1:200 |
| It is recommended that this reagent should be titrated in each testing system to obtain optimal results. | |
| Sample-dependent, Check data in validation data gallery. | |
发表文章中的应用
| WB | See 6 publications below |
| IF | See 1 publications below |
产品信息
51075-2-AP targets STAT2 in WB, IHC, IF, ELISA applications and shows reactivity with human samples.
| 经测试应用 | WB, IHC, ELISA Application Description |
| 文献引用应用 | WB, IF |
| 经测试反应性 | human |
| 文献引用反应性 | human, mouse |
| 免疫原 |
Peptide 种属同源性预测 |
| 宿主/亚型 | Rabbit / IgG |
| 抗体类别 | Polyclonal |
| 产品类型 | Antibody |
| 全称 | signal transducer and activator of transcription 2, 113kDa |
| 别名 | ISGF 3, ISGF3, P113, STAT 2, STAT113 |
| 计算分子量 | 851 aa, 98 kDa |
| 观测分子量 | 100-113 kDa |
| GenBank蛋白编号 | BC051284 |
| 基因名称 | STAT2 |
| Gene ID (NCBI) | 6773 |
| RRID | AB_1167479 |
| 偶联类型 | Unconjugated |
| 形式 | Liquid |
| 纯化方式 | Antigen affinity purification |
| UNIPROT ID | P52630 |
| 储存缓冲液 | PBS with 0.02% sodium azide and 50% glycerol, pH 7.3. |
| 储存条件 | Store at -20°C. Stable for one year after shipment. Aliquoting is unnecessary for -20oC storage. |
背景介绍
STAT2, also named as p113, belongs to the transcription factor STAT family. It is a signal transducer and activator of transcription that mediates signaling by type I IFNs (IFN-alpha and IFN-beta). Following type I IFN binding to cell surface receptors, Jak kinases (TYK2 and JAK1) are activated, leading to tyrosine phosphorylation of STAT1 and STAT2. The phosphorylated STATs dimerize and associate with ISGF3G/IRF-9 to form a complex termed ISGF3 transcription factor, that enters the nucleus. ISGF3 binds to the IFN stimulated response element (ISRE) to activate the transcription of IFN stimulated genes, which drive the cell in an antiviral state. It also interacts with CRSP2, CRSP6, Simian virus 5 protein V, rabies virus phosphoprotein, IFNAR1 and IFNAR2. Its interaction with dengue virus NS5 inhibits the phosphorylation of STAT2, and, when all viral proteins are present (polyprotein), STAT2 is targeted for degradation. This antibody is a rabbit polyclonal antibody raised against a peptide mapping within human STAT2. The calculated molecular weight of STAT2 is 98 kDa, but phosphorylated STAT2 is about 100-113 kDa.
实验方案
| Product Specific Protocols | |
|---|---|
| IHC protocol for STAT2 antibody 51075-2-AP | Download protocol |
| WB protocol for STAT2 antibody 51075-2-AP | Download protocol |
| Standard Protocols | |
|---|---|
| Click here to view our Standard Protocols |
发表文章
| Species | Application | Title |
|---|---|---|
BMC Vet Res Curcumol inhibits EMCV replication by activating CH25H and inhibiting the formation of ROs | ||
J Transl Med Pretreatment of UC-MSCs with IFN-α2 improves treatment of liver fibrosis by recruiting neutrophils | ||
Arthritis Res Ther Potential role of RhoA GTPase regulation in type interferon signaling in systemic lupus erythematosus | ||
Comput Struct Biotechnol J A five-protein prognostic signature with GBP2 functioning in immune cell infiltration of clear cell renal cell carcinoma | ||
Bone Res Gut microbial metabolite targets HDAC3-FOXK1-interferon axis in fibroblast-like synoviocytes to ameliorate rheumatoid arthritis |







