验证数据展示
经过测试的应用
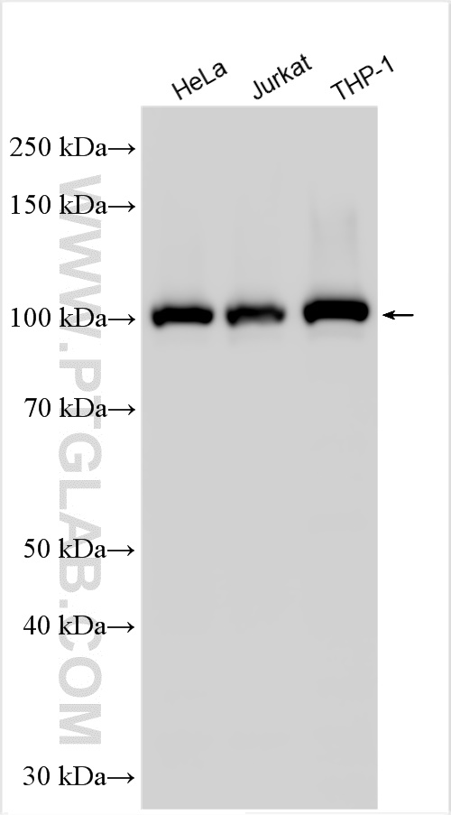
| Positive WB detected in | HeLa cells, NIH/3T3 cells, THP-1 cells, Jurkat cells, PC-12 cells |
| Positive IHC detected in | human spleen tissue, human lung tissue, mouse lung tissue, human colon cancer tissue Note: suggested antigen retrieval with TE buffer pH 9.0; (*) Alternatively, antigen retrieval may be performed with citrate buffer pH 6.0 |
推荐稀释比
| 应用 | 推荐稀释比 |
|---|---|
| Western Blot (WB) | WB : 1:5000-1:50000 |
| Immunohistochemistry (IHC) | IHC : 1:20-1:200 |
| It is recommended that this reagent should be titrated in each testing system to obtain optimal results. | |
| Sample-dependent, Check data in validation data gallery. | |
产品信息
51073-1-AP targets STAT6 in WB, IHC, IF, ChIP, RIP, ELISA applications and shows reactivity with human, mouse, rat samples.
| 经测试应用 | WB, IHC, ELISA Application Description |
| 文献引用应用 | WB, IHC, IF, ChIP, RIP |
| 经测试反应性 | human, mouse, rat |
| 文献引用反应性 | human, mouse, rat |
| 免疫原 |
Peptide 种属同源性预测 |
| 宿主/亚型 | Rabbit / IgG |
| 抗体类别 | Polyclonal |
| 产品类型 | Antibody |
| 全称 | signal transducer and activator of transcription 6, interleukin-4 induced |
| 别名 | IL-4 Stat, Signal transducer and activator of transcription 6, STAT 6, STAT6B, STAT6C |
| 计算分子量 | 94 kDa |
| 观测分子量 | 100-110 kDa |
| GenBank蛋白编号 | BC075852 |
| 基因名称 | STAT6 |
| Gene ID (NCBI) | 6778 |
| RRID | AB_2197244 |
| 偶联类型 | Unconjugated |
| 形式 | Liquid |
| 纯化方式 | Antigen affinity purification |
| UNIPROT ID | P42226 |
| 储存缓冲液 | PBS with 0.02% sodium azide and 50% glycerol, pH 7.3. |
| 储存条件 | Store at -20°C. Stable for one year after shipment. Aliquoting is unnecessary for -20oC storage. |
背景介绍
STAT6, also named as Signal transducer and activator of transcription 6, is a 847 amino acid protein, which belongs to the transcription factor STAT family. STAT6 forms a homodimer or a heterodimer with a related family member. STAT6 translocates into the nucleus in response to phosphorylation. STAT6 is Involved in IL4/interleukin-4- and IL3/interleukin-3-mediated signaling. The antibody could identify about 100 kDa band, similar to the reported in the literature(PMID: 10961983).
实验方案
| Product Specific Protocols | |
|---|---|
| WB protocol for STAT6 antibody 51073-1-AP | Download protocol |
| IHC protocol for STAT6 antibody 51073-1-AP | Download protocol |
| Standard Protocols | |
|---|---|
| Click here to view our Standard Protocols |
发表文章
| Species | Application | Title |
|---|---|---|
Proc Natl Acad Sci U S A miR-182 targeting reprograms tumor-associated macrophages and limits breast cancer progression. | ||
Cell Rep Macrophage autophagy deficiency-induced CEBPB accumulation alleviates atopic dermatitis via impairing M2 polarization | ||
J Ethnopharmacol Wenxia Changfu formula inhibits Lewis lung cancer metastasis by reprogramming tumor-associated macrophages through the PPAR-γ/CD36 pathway | ||
Front Cell Infect Microbiol Ehrlichia chaffeensis Tandem Repeat Effector Targets Differentially Influence Infection. | ||
Front Cell Dev Biol A miR-129-5P/ARID3A Negative Feedback Loop Modulates Diffuse Large B Cell Lymphoma Progression and Immune Evasion Through Regulating the PD-1/PD-L1 Checkpoint | ||
Cells Determination of WWOX Function in Modulating Cellular Pathways Activated by AP-2α and AP-2γ Transcription Factors in Bladder Cancer. |










