验证数据展示
经过测试的应用
| Positive WB detected in | HT-1080 cells, LoVo cells, HeLa cells, Jurkat cells, K-562 cells, human placenta tissue |
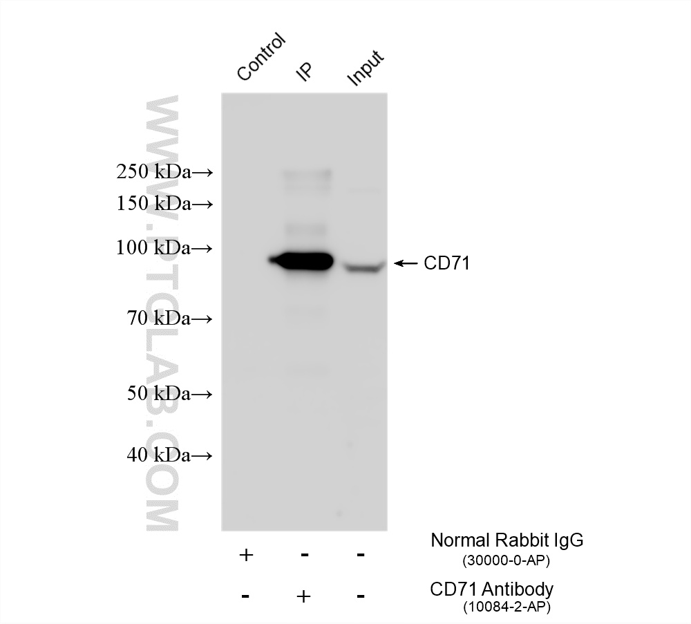
| Positive IP detected in | HeLa cells |
| Positive IHC detected in | human placenta tissue Note: suggested antigen retrieval with TE buffer pH 9.0; (*) Alternatively, antigen retrieval may be performed with citrate buffer pH 6.0 |
| Positive IF/ICC detected in | K-562 cells, MCF-7 cells |
| Positive FC (Intra) detected in | K-562 cells |
推荐稀释比
| 应用 | 推荐稀释比 |
|---|---|
| Western Blot (WB) | WB : 1:5000-1:50000 |
| Immunoprecipitation (IP) | IP : 0.5-4.0 ug for 1.0-3.0 mg of total protein lysate |
| Immunohistochemistry (IHC) | IHC : 1:1000-1:4000 |
| Immunofluorescence (IF)/ICC | IF/ICC : 1:200-1:800 |
| Flow Cytometry (FC) (INTRA) | FC (INTRA) : 0.13 ug per 10^6 cells in a 100 µl suspension |
| It is recommended that this reagent should be titrated in each testing system to obtain optimal results. | |
| Sample-dependent, Check data in validation data gallery. | |
产品信息
10084-2-AP targets CD71 in WB, IHC, IF/ICC, IP, CoIP, ELISA, Cell treatment applications and shows reactivity with human samples.
| 经测试应用 | WB, IHC, IF/ICC, IP, ELISA Application Description |
| 文献引用应用 | WB, IHC, IF, IP, CoIP, Cell treatment |
| 经测试反应性 | human |
| 文献引用反应性 | human, pig, monkey, chicken, bovine, hamster, duck |
| 免疫原 |
CatNo: Ag0123 Product name: Recombinant human CD71 protein Source: e coli.-derived, PGEX-4T Tag: GST Domain: 513-757 aa of BC001188 Sequence: VKHPVTGQFLYQDSNWASKVEKLTLDNAAFPFLAYSGIPAVSFCFCEDTDYPYLGTTMDTYKELIERIPELNKVARAAAEVAGQFVIKLTHDVELNLDYERYNSQLLSFVRDLNQYRADIKEMGLSLQWLYSARGDFFRATSRLTTDFGNAEKTDRFVMKKLNDRVMRVEYHFLSPYVSPKESPFRHVFWGSGSHTLPALLENLKLRKQNNGAFNETLFRNQLALATWTIQGAANALSGDVWDID 种属同源性预测 |
| 宿主/亚型 | Rabbit / IgG |
| 抗体类别 | Polyclonal |
| 产品类型 | Antibody |
| 全称 | transferrin receptor (p90, CD71) |
| 别名 | p90, sTfR, T9, TFR, TFR1 |
| 计算分子量 | 85 kDa |
| 观测分子量 | 90 kDa |
| GenBank蛋白编号 | BC001188 |
| 基因名称 | CD71 |
| Gene ID (NCBI) | 7037 |
| ENSEMBL Gene ID | ENSG00000072274 |
| RRID | AB_2240403 |
| 偶联类型 | Unconjugated |
| 形式 | Liquid |
| 纯化方式 | Antigen affinity purification |
| UNIPROT ID | P02786 |
| 储存缓冲液 | PBS with 0.02% sodium azide and 50% glycerol, pH 7.3. |
| 储存条件 | Store at -20°C. Stable for one year after shipment. Aliquoting is unnecessary for -20oC storage. |
背景介绍
CD71, also known as transferrin receptor protein 1 (TfR1), is a transmembrane glycoprotein composed of two disulfide-linked monomers, each of 90 kDa molecular weight. Each monomer binds one holo-transferrin molecule creating an iron-Tf-TfR complex that enters the cell by endocytosis. CD71 is present on actively proliferating cells and is essential for iron transport into proliferating cells.
实验方案
| Product Specific Protocols | |
|---|---|
| FC protocol for CD71 antibody 10084-2-AP | Download protocol |
| IF protocol for CD71 antibody 10084-2-AP | Download protocol |
| IHC protocol for CD71 antibody 10084-2-AP | Download protocol |
| IP protocol for CD71 antibody 10084-2-AP | Download protocol |
| WB protocol for CD71 antibody 10084-2-AP | Download protocol |
| Standard Protocols | |
|---|---|
| Click here to view our Standard Protocols |
发表文章
| Species | Application | Title |
|---|---|---|
Cell Res The metabolite α-KG induces GSDMC-dependent pyroptosis through death receptor 6-activated caspase-8. | ||
Acta Neuropathol Seizure-mediated iron accumulation and dysregulated iron metabolism after status epilepticus and in temporal lobe epilepsy. | ||
Cell Death Differ Ferroptotic stress facilitates smooth muscle cell dedifferentiation in arterial remodelling by disrupting mitochondrial homeostasis | ||
J Nanobiotechnology Glioma-targeted oxaliplatin/ferritin clathrate reversing the immunosuppressive microenvironment through hijacking Fe2+ and boosting Fenton reaction | ||
Int J Biol Sci PROTAC-Surufatinib Suppresses Pancreatic Neuroendocrine Neoplasms Progression by Inducing Ferroptosis through Inhibiting WNT/β-catenin Pathway Mediated by HMOX1 |







