验证数据展示
经过测试的应用
| Positive WB detected in | DU 145 cells, A431 cells, HEK-293 cells, HepG2 cells, Jurkat cells, mouse kidney tissue, NIH/3T3 cells, Raji cells, rat kidney tissue, C6 cells |
| Positive IP detected in | HepG2 cells |
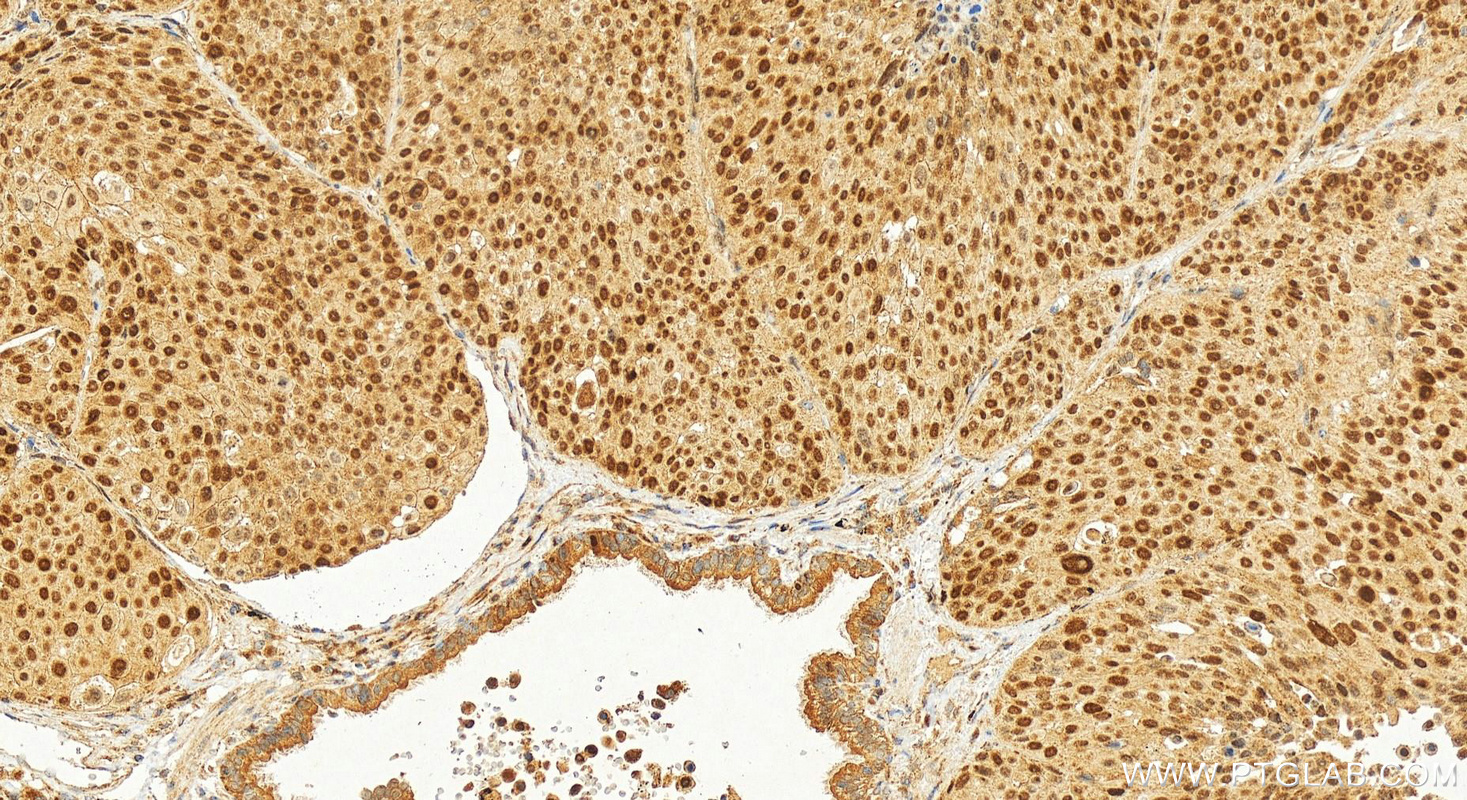
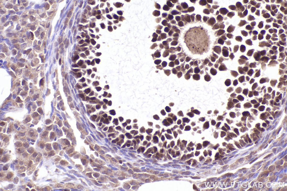
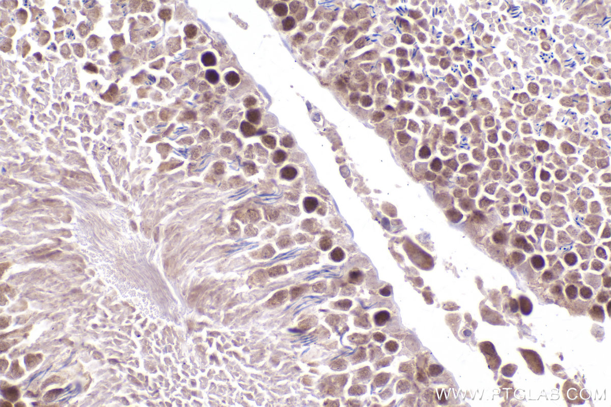
| Positive IHC detected in | mouse testis tissue, human lung squamous cell carcinoma tissue, mouse ovary tissue, rat testis tissue Note: suggested antigen retrieval with TE buffer pH 9.0; (*) Alternatively, antigen retrieval may be performed with citrate buffer pH 6.0 |
| Positive IF/ICC detected in | HepG2 cells |
| Positive FC (Intra) detected in | HepG2 cells |
This antibody is not recommended for use in IHC.
推荐稀释比
| 应用 | 推荐稀释比 |
|---|---|
| Western Blot (WB) | WB : 1:5000-1:50000 |
| Immunoprecipitation (IP) | IP : 0.5-4.0 ug for 1.0-3.0 mg of total protein lysate |
| Immunohistochemistry (IHC) | IHC : 1:1000-1:4000 |
| Immunofluorescence (IF)/ICC | IF/ICC : 1:400-1:1600 |
| Flow Cytometry (FC) (INTRA) | FC (INTRA) : 0.40 ug per 10^6 cells in a 100 µl suspension |
| It is recommended that this reagent should be titrated in each testing system to obtain optimal results. | |
| Sample-dependent, Check data in validation data gallery. | |
产品信息
21800-1-AP targets EZH2 in WB, IF/ICC, FC (Intra), IP, CoIP, ChIP, RIP, ELISA applications and shows reactivity with human, mouse, rat samples.
| 经测试应用 | WB, IF/ICC, FC (Intra), IP, ELISA Application Description |
| 文献引用应用 | WB, IF, IP, CoIP, ChIP, RIP |
| 经测试反应性 | human, mouse, rat |
| 文献引用反应性 | human, mouse, rat, pig, sheep |
| 免疫原 |
CatNo: Ag16789 Product name: Recombinant human EZH2 protein Source: e coli.-derived, PGEX-4T Tag: GST Domain: 158-261 aa of BC010858 Sequence: HGDRECGFINDEIFVELVNALGQYNDDDDDDDGDDPEEREEKQKDLEDHRDDKESRPPRKFPSDKIFEAISSMFPDKGTAEELKEKYKELTEQQLPGALPPECT 种属同源性预测 |
| 宿主/亚型 | Rabbit / IgG |
| 抗体类别 | Polyclonal |
| 产品类型 | Antibody |
| 全称 | enhancer of zeste homolog 2 (Drosophila) |
| 别名 | EC:2.1.1.356, Enhancer of zeste homolog 2, ENX 1, ENX-1, EZH1 |
| 计算分子量 | 751 aa, 86 kDa |
| 观测分子量 | 90-102 kDa |
| GenBank蛋白编号 | BC010858 |
| 基因名称 | EZH2 |
| Gene ID (NCBI) | 2146 |
| RRID | AB_10858790 |
| 偶联类型 | Unconjugated |
| 形式 | Liquid |
| 纯化方式 | Antigen affinity purification |
| UNIPROT ID | Q15910 |
| 储存缓冲液 | PBS with 0.02% sodium azide and 50% glycerol, pH 7.3. |
| 储存条件 | Store at -20°C. Stable for one year after shipment. Aliquoting is unnecessary for -20oC storage. |
背景介绍
EZH2 (enhancer of zeste homologue 2, also known as KMT6) is a member of Polycomb group (PcG) family and encodes a histone methyl transferase that has an essential role in promoting histone H3 lysine 27 trimethylation (H3K27me3) and epigenetic gene silencing. EZH2 is important for cell proliferation and inhibition of cell differentiation, and is implicated in cancer progression. Overexpression of EZH2 is a marker of advanced and metastatic disease in many solid tumors, including prostate and breast cancer. This antibody detected EZH2 protein as a single band with a molecular weight (MW) of 91-100 kDa in multiple cell lines. The phosphorylation may result in the higher molecular weight (calculated MW as 80-86 kDa). (20935635, 21367748)
实验方案
| Product Specific Protocols | |
|---|---|
| FC protocol for EZH2 antibody 21800-1-AP | Download protocol |
| IF protocol for EZH2 antibody 21800-1-AP | Download protocol |
| IHC protocol for EZH2 antibody 21800-1-AP | Download protocol |
| IP protocol for EZH2 antibody 21800-1-AP | Download protocol |
| WB protocol for EZH2 antibody 21800-1-AP | Download protocol |
| Standard Protocols | |
|---|---|
| Click here to view our Standard Protocols |
发表文章
| Species | Application | Title |
|---|---|---|
Mol Cancer Cell surface CD55 traffics to the nucleus leading to cisplatin resistance and stemness by inducing PRC2 and H3K27 trimethylation on chromatin in ovarian cancer | ||
Nat Struct Mol Biol lnc-β-Catm elicits EZH2-dependent β-catenin stabilization and sustains liver CSC self-renewal. | ||
Cancer Res HBXIP and LSD1 Scaffolded by lncRNA Hotair Mediate Transcriptional Activation by c-Myc. | ||
Theranostics Histone H3K27 methyltransferase EZH2 regulates apoptotic and inflammatory responses in sepsis-induced AKI
| ||
Nat Commun CDYL suppresses epileptogenesis in mice through repression of axonal Nav1.6 sodium channel expression.
|
















