验证数据展示
经过测试的应用
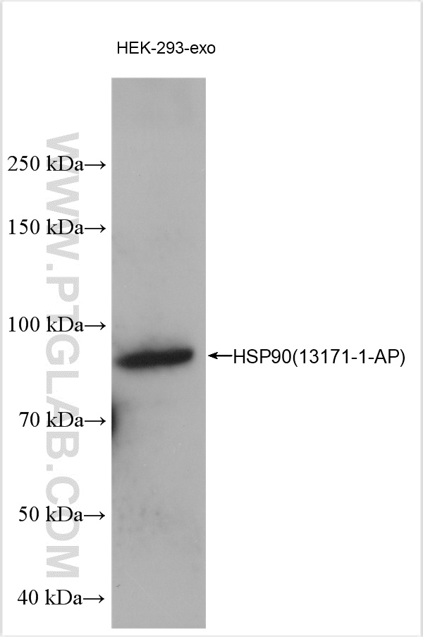
| Positive WB detected in | HEK-293 cells, HEK-293 exosomes cells, HeLa cells, mouse kidney tissue, rat kidney tissue, PC-12 cells, C6 cells, NIH/3T3 cells |
| Positive IP detected in | K-562 cells, HeLa cells |
| Positive IHC detected in | mouse testis tissue, human colon tissue Note: suggested antigen retrieval with TE buffer pH 9.0; (*) Alternatively, antigen retrieval may be performed with citrate buffer pH 6.0 |
| Positive IF/ICC detected in | HepG2 cells |
| Positive FC (Intra) detected in | HeLa cells |
推荐稀释比
| 应用 | 推荐稀释比 |
|---|---|
| Western Blot (WB) | WB : 1:2000-1:16000 |
| Immunoprecipitation (IP) | IP : 0.5-4.0 ug for 1.0-3.0 mg of total protein lysate |
| Immunohistochemistry (IHC) | IHC : 1:1600-1:8000 |
| Immunofluorescence (IF)/ICC | IF/ICC : 1:200-1:800 |
| Flow Cytometry (FC) (INTRA) | FC (INTRA) : 0.40 ug per 10^6 cells in a 100 µl suspension |
| It is recommended that this reagent should be titrated in each testing system to obtain optimal results. | |
| Sample-dependent, Check data in validation data gallery. | |
产品信息
13171-1-AP targets HSP90 in WB, IHC, IF/ICC, FC (Intra), IP, CoIP, RIP, ELISA applications and shows reactivity with human, mouse, rat samples.
| 经测试应用 | WB, IHC, IF/ICC, FC (Intra), IP, ELISA Application Description |
| 文献引用应用 | WB, IHC, IF, IP, CoIP, RIP, ELISA |
| 经测试反应性 | human, mouse, rat |
| 文献引用反应性 | human, mouse, rat, pig, rabbit, chicken, sheep, fish, carp |
| 免疫原 |
CatNo: Ag3826 Product name: Recombinant human HSP90 protein Source: e coli.-derived, PGEX-4T Tag: GST Domain: 287-638 aa of BC023006 Sequence: YLNFIRGVVDSEDLPLNISREMLQQSKILKVIRKNLVKKCLELFTELAEDKENYKKFYEQFSKNIKLGIHEDSQNRKKLSELLRYYTSASGDEMVSLKDYCTRMKENQKHIYYITGETKDQVANSAFVERLRKHGLEVIYMIEPIDEYCVQQLKEFEGKTLVSVTKEGLELPEDEEEKKKQEEKKTKFENLCKIMKDILEKKVEKVVVSNRLVTSPCCIVTSTYGWTANMERIMKAQALRDNSTMGYMAAKKHLEINPDHSIIETLRQKAEADKNDKSVKDLVILLYETALLSSGFSLEDPQTHANRIYRMIKLGLGIDEDDPTADDTSAAVTEEMPPLEGDDDTSRMEEVD 种属同源性预测 |
| 宿主/亚型 | Rabbit / IgG |
| 抗体类别 | Polyclonal |
| 产品类型 | Antibody |
| 全称 | heat shock protein 90kDa alpha (cytosolic), class A member 1 |
| 别名 | HSP90AA1, EC:3.6.4.10, Heat shock protein family C member 1, Heat shock protein HSP 90 alpha, Heat shock protein HSP 90-alpha |
| 计算分子量 | 853 aa, 90 kDa |
| 观测分子量 | 90 kDa |
| GenBank蛋白编号 | BC023006 |
| 基因名称 | HSP90 |
| Gene ID (NCBI) | 3320 |
| RRID | AB_2120924 |
| 偶联类型 | Unconjugated |
| 形式 | Liquid |
| 纯化方式 | Antigen affinity purification |
| UNIPROT ID | P07900 |
| 储存缓冲液 | PBS with 0.02% sodium azide and 50% glycerol, pH 7.3. |
| 储存条件 | Store at -20°C. Stable for one year after shipment. Aliquoting is unnecessary for -20oC storage. |
背景介绍
HSP90, encoded by HSP90AA1, is a constitutively and ubiquitously expressed molecular chaperone that is crucial for the stability and function of many proteins. HSP90 provides chaperoning activity for client proteins; many of them are members of oncogenic pathways, indicating its implication in tumor malignancy. HSP90 mainly resides in the cytosol, while it can also be released to the extracellular space. Secreted Hsp90 is a C-terminal truncated form. It has been reported that the level of plasma Hsp90 is positively correlated with tumor malignancy in clinical cancer patients, and can be a promising diagnostic marker for tumor malignancy in clinical application. This antibody may cross-react with HSP90AB1 due to the high homology between them.
实验方案
| Product Specific Protocols | |
|---|---|
| FC protocol for HSP90 antibody 13171-1-AP | Download protocol |
| IF protocol for HSP90 antibody 13171-1-AP | Download protocol |
| IHC protocol for HSP90 antibody 13171-1-AP | Download protocol |
| IP protocol for HSP90 antibody 13171-1-AP | Download protocol |
| WB protocol for HSP90 antibody 13171-1-AP | Download protocol |
| Standard Protocols | |
|---|---|
| Click here to view our Standard Protocols |
发表文章
| Species | Application | Title |
|---|---|---|
Cell Metab IgG is an aging factor that drives adipose tissue fibrosis and metabolic decline | ||
Nat Genet WAPL maintains a cohesin loading cycle to preserve cell-type-specific distal gene regulation. | ||
Bioact Mater Jahn-Teller distortion-engineered self-propelled nanorobots for mitochondrial targeting and bioenergetic disruption in tumor therapy. | ||
Bioact Mater Genetically engineered M2-like macrophage-derived exosomes for P. gingivalis-suppressed cementum regeneration: From mechanism to therapy |










