验证数据展示
经过测试的应用
| Positive WB detected in | COLO 320 cells, HEK-293 cells, HeLa cells, Caco-2 cells |
| Positive IP detected in | HEK-293 cells |
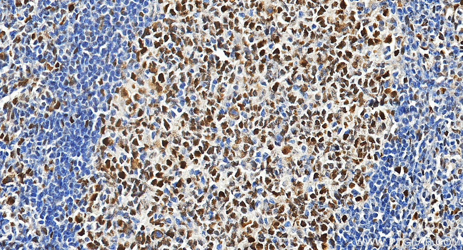
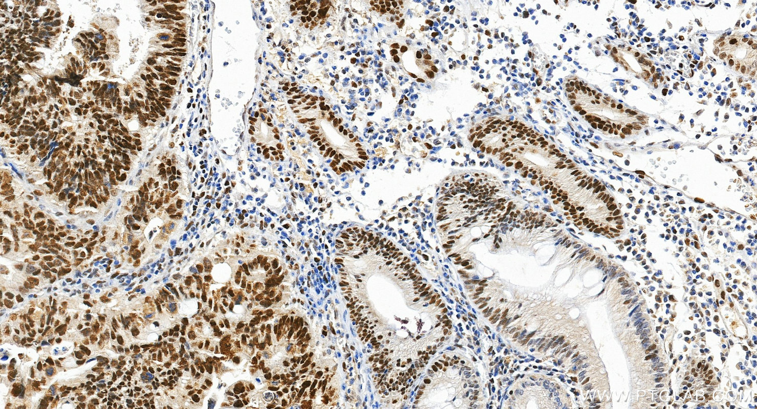
| Positive IHC detected in | human tonsillitis tissue, human colon cancer tissue Note: suggested antigen retrieval with TE buffer pH 9.0; (*) Alternatively, antigen retrieval may be performed with citrate buffer pH 6.0 |
| Positive IF/ICC detected in | HeLa cells |
推荐稀释比
| 应用 | 推荐稀释比 |
|---|---|
| Western Blot (WB) | WB : 1:2000-1:12000 |
| Immunoprecipitation (IP) | IP : 0.5-4.0 ug for 1.0-3.0 mg of total protein lysate |
| Immunohistochemistry (IHC) | IHC : 1:1000-1:4000 |
| Immunofluorescence (IF)/ICC | IF/ICC : 1:200-1:800 |
| It is recommended that this reagent should be titrated in each testing system to obtain optimal results. | |
| Sample-dependent, Check data in validation data gallery. | |
产品信息
18120-1-AP targets MSH6 in WB, IHC, IF/ICC, IP, ELISA applications and shows reactivity with human, mouse, rat samples.
| 经测试应用 | WB, IHC, IF/ICC, IP, ELISA Application Description |
| 文献引用应用 | WB, IHC, IF, IP |
| 经测试反应性 | human, mouse, rat |
| 文献引用反应性 | human, mouse |
| 免疫原 |
CatNo: Ag12645 Product name: Recombinant human MSH6 protein Source: e coli.-derived, PET28a Tag: 6*His Domain: 1-400 aa of BC004246 Sequence: MSRQSTLYSFFPKSPALSDANKASARASREGGRAAAAPGASPSPGGDAAWSEAGPGPRPLARSASPPKAKNLNGGLRRSVAPAAPTSCDFSPGDLVWAKMEGYPWWPCLVYNHPFDGTFIREKGKSVRVHVQFFDDSPTRGWVSKRLLKPYTGSKSKEAQKGGHFYSAKPEILRAMQRADEALNKDKIKRLELAVCDEPSEPEEEEEMEVGTTYVTDKSEEDNEIESEEEVQPKTQGSRRSSRQIKKRRVISDSESDIGGSDVEFKPDTKEEGSSDEISSGVGDSESEGLNSPVKVARKRKRMVTGNGSLKRKSSRKETPSATKQATSISSETKNTLRAFSAPQNSESQAHVSGGGDDSSRPTVWYHETLEWLKEEKRRDEHRRRPDHPDFDASTLYVPE 种属同源性预测 |
| 宿主/亚型 | Rabbit / IgG |
| 抗体类别 | Polyclonal |
| 产品类型 | Antibody |
| 全称 | mutS homolog 6 (E. coli) |
| 别名 | G/T mismatch binding protein, G/T mismatch-binding protein, GTBP, GTMBP, hMSH6 |
| 计算分子量 | 153 kDa |
| 观测分子量 | 150-160 kDa |
| GenBank蛋白编号 | BC004246 |
| 基因名称 | MSH6 |
| Gene ID (NCBI) | 2956 |
| RRID | AB_2250726 |
| 偶联类型 | Unconjugated |
| 形式 | Liquid |
| 纯化方式 | Antigen affinity purification |
| UNIPROT ID | P52701 |
| 储存缓冲液 | PBS with 0.02% sodium azide and 50% glycerol, pH 7.3. |
| 储存条件 | Store at -20°C. Stable for one year after shipment. Aliquoting is unnecessary for -20oC storage. |
背景介绍
MSH6, also named as DNA mismatch repair protein Msh6 or GTMBP, is a 1360 amino acid protein, which contains one PWWP domain and belongs to the DNA mismatch repair MutS family. MSH6 localizes in the nucleus and is a component of the post-replicative DNA mismatch repair system. Msh2 and Msh6 form a protein complex required to repair mismatches generated during DNA replication.
实验方案
| Product Specific Protocols | |
|---|---|
| IF protocol for MSH6 antibody 18120-1-AP | Download protocol |
| IHC protocol for MSH6 antibody 18120-1-AP | Download protocol |
| IP protocol for MSH6 antibody 18120-1-AP | Download protocol |
| WB protocol for MSH6 antibody 18120-1-AP | Download protocol |
| Standard Protocols | |
|---|---|
| Click here to view our Standard Protocols |
发表文章
| Species | Application | Title |
|---|---|---|
Mol Cancer CircLIFR synergizes with MSH2 to attenuate chemoresistance via MutSα/ATM-p73 axis in bladder cancer. | ||
Commun Biol EZH2 elicits CD8+ T-cell desert in esophageal squamous cell carcinoma via suppressing CXCL9 and dendritic cells | ||
Oncotarget Targeted silencing of SOX2 by an artificial transcription factor showed antitumor effect in lung and esophageal squamous cell carcinoma. | ||
Front Oncol Molecular Classification in Patients With Endometrial Cancer After Fertility-Preserving Treatment: Application of ProMisE Classifier and Combination of Prognostic Evidence. | ||
DNA Cell Biol MSH6 Aggravates the Hypoxic Microenvironment via Regulating HIF1A to Promote the Metastasis of Glioblastoma Multiforme. |













