验证数据展示
经过测试的应用
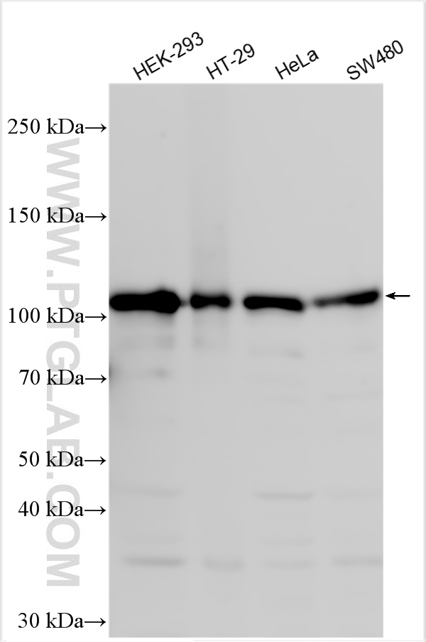
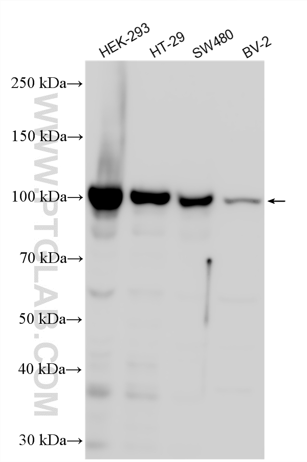
| Positive WB detected in | HEK-293 cells, HEK293 cells, HT-29 cells, HeLa cells, SW 480 cells, SW480 cells, BV-2 cells |
| Positive IP detected in | HEK-293 cells |
| Positive IHC detected in | human breast cancer tissue Note: suggested antigen retrieval with TE buffer pH 9.0; (*) Alternatively, antigen retrieval may be performed with citrate buffer pH 6.0 |
| Positive IF/ICC detected in | A431 cells, HepG2 cells |
推荐稀释比
| 应用 | 推荐稀释比 |
|---|---|
| Western Blot (WB) | WB : 1:5000-1:50000 |
| Immunoprecipitation (IP) | IP : 0.5-4.0 ug for 1.0-3.0 mg of total protein lysate |
| Immunohistochemistry (IHC) | IHC : 1:50-1:500 |
| Immunofluorescence (IF)/ICC | IF/ICC : 1:1000-1:4000 |
| It is recommended that this reagent should be titrated in each testing system to obtain optimal results. | |
| Sample-dependent, Check data in validation data gallery. | |
产品信息
10587-1-AP targets RBM15 in WB, IHC, IF/ICC, IP, CoIP, RIP, ELISA applications and shows reactivity with human, mouse, rat samples.
| 经测试应用 | WB, IHC, IF/ICC, IP, ELISA Application Description |
| 文献引用应用 | WB, IHC, IF, IP, CoIP, RIP |
| 经测试反应性 | human, mouse, rat |
| 文献引用反应性 | human, mouse, rat |
| 免疫原 |
CatNo: Ag0938 Product name: Recombinant human RBM15 protein Source: e coli.-derived, PGEX-4T Tag: GST Domain: 658-957 aa of BC006397 Sequence: SSSRDRYNSDNDRSSRLLLERPSPIRDRRGSLEKSQGDKRDRKNSASAERDRKHRTTAPTEGKSPLKKEDRSDGSAPSTSTASSKLKSPSQKQDGGTAPVASASPKLCLAWQGMLLLKNSNFPSNMHLLQGDLQVASSLLVEGSTGGKVAQLKITQRLRLDQPKLDEVTRRIKVAGPNGYAILLAVPGSSDSRSSSSSAASDTATSTQRPLRNLVSYLKQKQAAGVISLPVGGNKDKENTGVLHAFPPCEFSQQFLDSPAKALAKSEEDYLVMIIVRGFGFQIGVRYENKKRENLALTLL 种属同源性预测 |
| 宿主/亚型 | Rabbit / IgG |
| 抗体类别 | Polyclonal |
| 产品类型 | Antibody |
| 全称 | RNA binding motif protein 15 |
| 别名 | One-twenty two protein 1, OTT, OTT1, RBM 15, RNA-binding motif protein 15 |
| 计算分子量 | 105 kDa |
| 观测分子量 | 100-107 kDa |
| GenBank蛋白编号 | BC006397 |
| 基因名称 | RBM15 |
| Gene ID (NCBI) | 64783 |
| RRID | AB_2175757 |
| 偶联类型 | Unconjugated |
| 形式 | Liquid |
| 纯化方式 | Antigen affinity purification |
| UNIPROT ID | Q96T37 |
| 储存缓冲液 | PBS with 0.02% sodium azide and 50% glycerol, pH 7.3. |
| 储存条件 | Store at -20°C. Stable for one year after shipment. Aliquoting is unnecessary for -20oC storage. |
背景介绍
RNA-binding motif protein 15 (RBM15) belongs to the SPEN protein family, which have repressor function in several signaling pathway, and may bind to RNA through interaction with spliceosome components. It was first described as a 5′ translocation partner of the MAL gene in t(1,22)(p13;q13) infant acute megakaryocytic leukemia, and it functions in murine hematopoiesis through modulating Notch-induced transcriptional activation, which play crucial roles in leukemogenesis. Decreasing RBM15 levels with RNA interference could inhibit the growth and proliferation, block the cell cycle, and induce apoptosis in CML cells.
实验方案
| Product Specific Protocols | |
|---|---|
| IF protocol for RBM15 antibody 10587-1-AP | Download protocol |
| IHC protocol for RBM15 antibody 10587-1-AP | Download protocol |
| IP protocol for RBM15 antibody 10587-1-AP | Download protocol |
| WB protocol for RBM15 antibody 10587-1-AP | Download protocol |
| Standard Protocols | |
|---|---|
| Click here to view our Standard Protocols |
发表文章
| Species | Application | Title |
|---|---|---|
Mol Cancer Co-transcriptional R-loops-mediated epigenetic regulation drives growth retardation and docetaxel chemosensitivity enhancement in advanced prostate cancer | ||
Mol Cell mTORC1 stimulates cell growth through SAM synthesis and m6A mRNA-dependent control of protein synthesis. | ||
Nat Struct Mol Biol m6A and the NEXT complex direct Xist RNA turnover and X-inactivation dynamics | ||
Dev Cell N6-methyladenosine modification of MALAT1 promotes metastasis via reshaping nuclear speckles.
| ||
Elife Cross-talk between PRMT1-mediated methylation and ubiquitylation on RBM15 controls RNA splicing. |








